Что такое фиброз легких и почему он может появиться после пневмонии? Диагностика и лечение
В организме постоянно протекают процессы регенерации, которые в большинстве своем проходят за счет соединительной ткани. Иногда этот процесс может иметь обратное течение.
Одним из примеров такого неблагоприятного поворота является фиброз легких – процесс замещения собственной ткани легкого на соединительную (фиброзную).
Визуально после пневмонии он определяется на рентгеновских снимках в виде фиброзных тяжей и рубцов – полосы затемнения. Это приводит к уменьшению дыхательной поверхности легких и развитию хронической дыхательной недостаточности.
Оглавление
- Виды
- Симптомы
- Диагностика
- Лечение и прогноз
- Заключение
Существует множество классификаций фиброзных изменений легких, вот некоторые из них:
1) По происхождению:
- идиопатический – причина развития болезни не установлена;
- интерстициальный – известен этиологический фактор.
2) По этиологии:
- следствие профессионального заболевания;
- результат приема лекарственных препаратов;
- системные заболевания соединительной ткани;
- постинфекционный фиброз.
3) По выраженности разрастания соединительной ткани:
- фиброз – участки здорового легкого чередуются с участками замещенными соединительной тканью;
- склероз – более грубое поражение легких чем фиброз, характеризуется уплотнением и снижением эластичности легких;
- цирроз – терминальная стадия, которая проявляется нарушением гистоархитектоники легкого и полным замещением его тканей, альвеол, частично сосудов и бронхов на соединительную.
4) По распространенности процесса:
- апикальный – поражена только верхушка легкого;
- перекорниальный – фиброз развивается вокруг корней легкого;
- корневой – с поражением самого корня;
- очаговый – наличие небольшого участка (или несколько) фиброза в легком;
- генерализованный – поражение всего легкого;
- односторонний – поражено только одно легкое (правое или левое);
- двухсторонний – поражены оба легких.
Выше представлены основные классификации, которыми пользуются в клинической практике, так как с их помощью можно отразить степень и тяжесть заболевания. Это имеет огромное значение в формулировании диагноза.
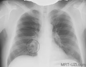
Фиброзные тяжи на рентгеновском снимке
Симптомы
Фиброз приводит к тяжелому поражению легких, что в свою очередь приводит к развитию хронической гипоксии всех органов и тканей. Симптомы болезни, если фиброз развился в следствии хронического процесса, начинают проявляться не сразу, а постепенно набирая силу. В случае острой и массовой гибели клеток легкого фиброз не заставит себя долго ждать.
Основные симптомы, характерные для фиброза легких:
- Одышка – является ключевым симптомом данного заболевания. На начальных стадиях, когда процесс занимает небольшие объемы, она не ярко выражена, возникает при тяжелой или умеренной физической нагрузке. Но с течением болезни она становиться все сильнее и на стадии цирроза возникает даже в покое.
- Кашель – может наблюдаться не очень интенсивный кашель с отделением скудного количества мокроты.
- Дыхательная недостаточность (ДН) – возникает в связи с уменьшением дыхательной поверхности и растяжимости легких.
- Сердечная недостаточность или “легочное сердце” – на фоне ДН, так как сердце, как никакой другой орган, нуждается в постоянной подаче кислорода. Возникает при значительном объеме поражения и затяжном течении болезни. Проявляется:
- значительной одышкой;
- болевыми ощущениями за грудиной;
- сердцебиением;
- пульсацией;
- набуханием вен шеи;
- отеками на нижних конечностях.
- Изменения психического состояния и сознания – мозг очень чувствителен к гипоксии и очень остро реагирует на отсутствие кислорода. Могут наблюдаться:
- депрессии;
- апатия;
- головные боли;
- головокружения;
- потери сознания.
- Изменение внешнего вида – очень яркими являются симптомы “барабанных палочек” (утолщение дистальных фаланг пальцев кисти) и “часовых стекол” (изменения ногтей, они становятся выпуклыми и напоминают часовые стекла). Кроме того, наблюдается:
- ломкость;
- выпадение волос;
- бледность;
- шелушение кожных покровов.
- Полиорганная недостаточность – на терминальной стадии.
Синдром “барабанных палочек”
Появление прогрессирующей одышки является первым и самым важным симптомом, при котором необходимо срочно обратиться за медицинской помощью.
Так как на поздних стадиях от гипоксии страдают все органы и ткани, симптомы могут быть весьма разнообразными, но всегда присутствуют признаки ярко выраженной дыхательной недостаточности.
Диагностика
Диагностика начинается с выслушивания жалоб пациента, затем тщательный сбор анамнеза и проведение общего осмотра. В результате осмотра могут обнаружиться:
- При перкуссии – притупление перкуторного звука над очагом фиброза;
- При аускультации – ослабление дыхание, появление дыхательных шумов, бронхофония.
На основании полученных данных, врач назначает специальные методы обследования, как правило это инструментальные методики, так как лабораторные тесты малоинформативны. В общем анализе крови могут наблюдаться признаки анемии (полицитемия, ретикулоцитоз). В более поздних стадия могут наблюдаться признаки поражения многих органов и тканей в биохимическом анализе крови.
В диагностике используют:
- рентгенологическое исследование легких (лучше компьютерную томографию, если есть возможность);
- магнитно-резонансную томографию;
- исследование функционального состояния легких (особенно важен показатель объема форсированного выдоха за 1 минуту – ОФВ1);
- прицельную биопсию легкого под контролем КТ.
По результатом обследований наблюдаются фиброзные очаги (тяжи, рубцы) и значительное снижение функции легких.
Лечение и прогноз
Вылечить фиброзно-измененное легкое нельзя, можно лишь приостановить процесс разрастания соединительной ткани.
Внимание! Специфического лечения фиброза легких нет, так как данная патология необратима.
Используют следующие группы препаратов:
- глюкокортикостероиды (преднизолон, метилпреднизолон) – являются основой патогенетической терапии и способствуют остановке фиброза;
- цитостатики (азатиоприн, циклофосфомид) – останавливают процессы деления клеток;
- антифибринозные (колхоцин);
- антибиотики;
- бронхолитики;
- муколитики и откашливающие;
- симптоматическая терапия вторичных поражений других органов и систем (чаще всего сердечная – инотропная терапия гликозидами);
- оксигенотерапия;
- дыхательная гимнастика;
- диета.
Цель терапии – не допустить прогрессирования процесса, предотвратить возможность присоединения вторичных инфекций и по максимуму постараться улучшить качество жизни человека, страдающего данным недугом.
При тотальном поражении легкого или его доли, возможно проведение хирургической операции по удалению патологически измененного органа или участка. В случаи двустороннего поражения выполняют трансплантацию легких.
Заключение
Фиброз легкого – тяжелое заболевание, которое приводит к серьезным нарушением во всем организме. Оно неуклонно прогрессирует и поэтому время в диагностике и лечении данного состояния играет огромную роль. Необходимо сразу же обращаться к врачу, при появлении малейших симптомов, особенно при наличии одышки. При правильном лечении процесс удается приостановить.
Источник:
Продолжительность жизни при фиброзе легких
Диагноз «фиброз легких» для многих больных означает начало сложной борьбы с недугом, требующей огромных усилий.
Насколько опасна эта болезнь, действительно ли то, что эффективного лекарства от нее не изобретено, и какова продолжительность жизни при этом заболевании – эти вопросы волнуют пациента в первую очередь.
Продолжительность жизни при разной стадии болезни
Фиброз легких имеет несколько стадий и форм течения, которые напрямую влияют на прогноз заболевания, качество и продолжительность жизни. Врачи склонны подразделять болезнь на раннюю и позднюю стадию, в которых имеющиеся симптомы отличаются по интенсивности.
- Ранняя стадия характеризуется незначительным ухудшением общего самочувствия человека. Чаще всего диагностируется дыхательная недостаточность первой или второй степени, больной жалуется на одышку, продолжительную слабость и апатию, ночную потливость, болезненность в суставах по утрам. Лабораторные исследования показывают небольшие изменения в составе крови, на рентгенографических снимках легких явственно видны изменения.
- Поздняя стадия проявляется выраженной, продолжительной одышкой, усилением дыхательной недостаточности до третьей или четвертой степени. Появляется синюшность кожи, слизистые приобретают синевато-пепельный цвет. Нарастают изменения в форме пальцев рук, ногти становятся выпуклыми, пальцы по форме напоминают барабанные палочки.
Фиброз, в зависимости от течения и продолжительности заболевания, подразделяют на хронический и острый.
- Острый тип болезни развивается быстро, осложняясь гипоксемической комой, тромбоэмболией легочной артерии и острой дыхательной недостаточностью, которые приводят к летальному исходу;
- хроническая форма имеет медленное течение, постепенно уменьшающее продолжительность активности. Эта форма заболевания подразделяется на: агрессивный, очаговый, медленно прогрессирующий и персистирующий.
Нарастание симптоматики в агрессивном типе хронического фиброза легких происходит гораздо медленнее, чем в острой форме заболевания. Персистирующий хронический фиброз характеризуется постепенным, продолжительным увеличением интенсивности симптомов. Самое постепенное развитие болезни наблюдается при медленно прогрессирующем хроническом фиброзе.
В каких случаях возможен неблагоприятный исход
- Острая форма встречается сравнительно редко, всего у двадцати процентов заболевших. Характеризуется внезапным началом со стремительно нарастающими симптомами. Степени дыхательной недостаточности быстро сменяют друг друга, больной страдает от сильной одышки. Острый прогрессирующий фиброз практически не поддается методам консервативной терапии, пациент погибает по прошествии пары месяцев.
- Хронический фиброз агрессивной формы резко уменьшает продолжительность необходимых движений и приводит больного к гибели в течение года, при консервативном лечении. Одышка и сердечная недостаточность усугубляют состояние пациента, так как симметричное разрастание фиброзной ткани в легких не удается контролировать введением лекарственных препаратов.
Хронический персистирующий фиброз легких позволяет прожить пациенту с подобным диагнозом не более трех-пяти лет.
Хирургическое лечение, пересадка легких при данной патологии в половине случаев дает шанс больному на продолжение жизни. Статистические данные показывают, что своевременная операция помогает продлить продолжительность активности примерно на пять лет.
Снижение массы тела, субфебрильная температура указывают на серьёзные проблемы в лёгких. Для своевременной организации терапевтических мероприятий, узнайте, как проводится ранняя диагностика саркоидоза лёгких.
Работа на производстве с постоянно загрязнённым воздухом может привести к развитию силикоза. Узнайте о мерах профилактики этого заболевания.
В каких случаях возможен благоприятный исход
Медленно прогрессирующее хроническое заболевание характеризуется достаточно плавным, продолжительным развитием заболевания. Пациент, при адекватном лечении и отсутствии сопутствующих патологий сердечно-сосудистой системы, может прожить десять и более лет.
Благоприятный прогноз врачи могут дать при диагностике у больного очагового фиброза. Если заболевание не прогрессирует, то симптоматики, ухудшающей качество и продолжительность жизни и приводящей к гибели пациента, не наблюдается.
Как улучшить состояние и прогноз жизни
Лечебные мероприятия в терапии фиброза легких направлены на восстановление нормального дыхания и газообмена, остановку патологического процесса разрастаний фиброзных образований и стабилизацию нарушений, связанных с системой дыхания. Методы подразделяются на:
- Медикаментозную терапию;
- не медикаментозную терапию;
- реабилитационные мероприятия;
- хирургическое лечение.
Основной целью медикаментозной терапии является снижение образования разрастаний в легких и увеличение продолжительности жизни. Прекращение патологического процесса дает надежду пациентам, так как сопутствующая терапия нарушений работы сердца и дыхательной системы имеет лишь вспомогательный эффект.
Так как препараты, применяемые для лечения фиброза, негативно воздействуют на организм, снижая иммунитет, то больным назначается ежегодная противогриппозная вакцинация, а также рекомендуется вводить вакцину против пневмококка однократно в пятилетний промежуток. Лечение продолжительное, проводится под обязательным регулярным контролем врача.
Лечение не медикаментозное включает в себя кислородную терапию, которая проводится как в условиях стационара, так и при амбулаторном лечении. Вдыхание кислорода позволяет нормализовать газообмен, уменьшает одышку и позволяет повышать физические нагрузки. По назначению врача проводят плазмофорез и гемосорбцию.
Реабилитационные мероприятия нужны для предотвращения обменных нарушений, связанных с болезнью. Улучшить качество и продолжительность жизни помогают:
- Лечебная физкультура, прогулки и пробежки на свежем воздухе;
- сон на свежем воздухе особо рекомендуется при фиброзе легких, как и пребывание на природе;
- дыхательная гимнастика – одно из мощных восстановительных средств при легочных заболеваниях;
- качественное, полноценное питание, исключающее применение продуктов, которые содержат консерванты и химические вещества. Организм необходимо поддержать, питание должно быть щадящим, легким, калорийным и насыщенным витаминами;
- прием различных витаминных комплексов, рекомендованных врачом.
К сожалению, это тяжелое заболевание, которое в большинстве случаев приводит к смерти пациента. Но соблюдение врачебных рекомендаций, стремление остановить болезнь, желание увеличить продолжительность жизни, становятся теми факторами, которые помогают человеку в борьбе с тяжелым недугом.
На видео представлен комплекс из 13 упражнений дыхательной гимнастики.
Источник:
Фиброз легких после воспаления легких — Терапевт Антонов
Фиброзом легких называется болезнь, при которой в легких образуется фиброзная ткань и нарушается дыхательная функция этого органа. При данном заболевании наблюдается уменьшение эластичности ткани легких и усложненное проникновение через альвеолы кислорода и углекислого газа.
Эта болезнь может привести к очень серьезным последствиям, поэтому каждый человек должен знать, что такое фиброз, каковы его симптомы и способы лечения.
Основная симптоматика и методы диагностики
Самым первым и основным симптомом является одышка. Первым делом она начинает проявляться только во время физического труда, а потом может возникать и в покое.
Затем, по мере развития болезни, пациент начинает жаловаться на сухой кашель. Кожа больного приобретает синеватый оттенок. В тяжелых случаях у пациента может замечаться изменения формы пальцев.
Также, если болезнь длится уже длительное время, то у больного фиброзом легких симптомы могут проявляться и со стороны сердечно-сосудистой системы. К ним относятся:
- отеки ног,
- усиленное сердцебиение,
- вздутие вен на шее,
- боли в груди,
- быстрая утомляемость и общая слабость.
При обращении в больницу, врач, для того чтобы поставить этот диагноз, первым делом изучает анамнез больного, опрашивает его о симптомах и общем состоянии, а также проводит осмотр.
Для этого он прослушивает и простукивает область грудной клетки, проверяет, как работают органы дыхания, и определяет объем легких. Также врачу нужно проверить и то, какой уровень кислорода содержится в крови.
Сделать это можно с помощью такой процедуры как оксигенометрия.
Сделать картину развития заболевания более четкой могут современные способы диагностики. Больному, у которого подозревают наличие фиброза легкого, могут назначить:
- рентгенографию,
- магнитно-резонансную томографию,
- биопсию легкого,
- компьютерную томографию.
На рентгеновском снимке грудной клетке специалист может обнаружить усиление рисунка легких очагового или диффузного характера в верхней или нижней зоне органа. Иногда это исследование может показать и наличие кистозных просветлений небольшого размера. КТ дает возможность выявить различные виды затемненностей в легких и больше сказать о процессе образования фиброзных изменений.
Если врач подозревает наличие осложнений фиброза, то может назначаться эхокардиограмма. Она дает возможность выявить легочную гипертензию. Также, в ряде случаев, специалист может назначить пациенту бронхоскопию, которая позволит точно определить масштаб изменений в легочной ткани.
Классификация фиброза легких
Фиброз классифицируется по нескольким признакам. По характеру распространения болезни он бывает:
- односторонним, то есть поражается лишь одно легкое,
- двухсторонним, поражающим оба легких,
- очаговым (изменяется только небольшой участок органа),
- диффузным (поражается все легкое).
По причинам образования патологии выделяют интерстициальный и идиопатический фиброз. Идиопатическая форма имеет неустановленную причину развития. Она является самой диагностируемой, среди других видов фиброза.
Чаще всего она встречается у мужчин 50-60 лет. Точные причины развития данной патологии не выявлены, но ученые доказали, что она может возникнуть из-за негативного влияния генетических и экологических факторов.
Интерстициальный фиброз – заболевание, вызванное воздействием негативных факторов.
Он в свою очередь делится на:
- постлучевой фиброз легких, который возникает как последствие лучевой терапии,
- пылевой, возникающий из-за вдыхания пыли,
- соединительнотканный фиброз, причинами которого являются патологии соединительной ткани,
- инфекционный, являющийся осложнением инфекционных заболеваний,
- лекарственный, возникший из-за длительного приема медикаментов,
- перибронхиальный фиброз, являющийся следствием хронического воспаления,
Также фиброз классифицируют и по выраженности образования соединительной ткани. В этой классификации выделяются:
- Пневмофиброз. Представляет собой разрастание фиброзной ткани умеренной тяжести, которая чередуется с нормальной тканью.
- Пневмосклероз. При пневмосклерозе наблюдается грубое замещение хорошей ткани измененной и уплотнение легких.
- Цирроз легких. Характеризуется полной заменой легочной ткани и повреждением бронхов и легочных сосудов.
По локализации фиброз легких делится на:
- Апикальный, который затрагивает верхнюю часть органа.
- Прикорневой фиброз, который поражает участки около корней легких.
- Корневой фиброз, который возникает в корне легкого.
Причины возникновения, методы профилактики и возможные осложнения
Такие паталогические изменения в легких часто возникают при наличии у пациента инфекционных заболеваний, аллергии, а также из-за лучевой терапии и длительном вдыхании пыли. В группе риска находятся люди, работающие с мукой, плесенью, песком и другой органической и неорганической пылью.
Также причинами развития легочного фиброза могут являться болезни соединительной ткани, васкулиты и курение.
Ученые выявили, что у злостных курильщиков риск возникновения патологии намного больше, чем у некурящих людей.
Для того чтобы избежать этого заболевания, нужно избегать факторов, которые вызывают данную болезнь. Самыми основными методами профилактики являются:
- правильное питание,
- проведение дыхательной гимнастики,
- избегание долгого контакта с любой пылью,
- соблюдение правил безопасности при работе с вредными веществами,
- строгий отказ от курения.
Также очень важно ежегодно проверять состояние легких и своевременно выявлять признаки заболеваний легких.
Фиброз легких является очень серьезным заболеванием и имеет ряд осложнений. Самыми распространенными из них считаются:
- дыхательная недостаточность,
- кома гипоксимического типа,
- пневмоторакс,
- плеврит.
Кроме того у больных могут наблюдаться тромбоэмболия легочной артерии и хроническое легочное сердце. Также специалисты установили, что у больных данным заболеванием риск возникновения рака в 14 раз больше, чем у людей без этого диагноза. Эти заболевания очень тяжелые, поэтому если фиброзные изменения легких не лечить, это может привести и к летальному исходу.
Лечение заболевания
Пациенту с данным диагнозом назначают комплексное лечение, в которое входят медикаментозная терапия и немедикаментозное лечение с реабилитационными мероприятиями. В тяжелых случаях применяется и трансплантация легкого. Основная цель лечебных мероприятий – улучшить качество жизни больного.
В медикаментозную терапию при фиброзе обязательно входят глюкокортикостероиды, цитостатики и антифиброзные препараты. Самым назначаемым глюкокортикостероидным препаратом является Преднизолон. Лечебный курс этим лекарством обычно составляет 12 недель. Но данный препарат применяется и для поддерживающей терапии, длительность которой составляет минимум 2 года.
Если Преднизолон не дает должного эффекта, то в комплекс к нему включают цитостатики. В их качестве врачи могут назначить Азатиоприн и Циклофосфамид. Комбинированный прием Преднизолона и цитостатиков обычно длится около полугода.
Нужно принимать во внимание тот факт, что длительный прием глюкокортикостероидов может нанести вред организму, например, вызвать остеопороз, язву желудка, нарушения нервной системы, миопатию. Поэтому в течение всего времени приема лекарств, больному необходимо регулярно посещать врача и соблюдать диету №9.
В качестве антифиброзного препарата в большинстве случаев прописывается Колхицин. Вещества, содержащиеся в данном препарате, не дают образовываться амилоидным фибриллам. Также эффективным лекарством является Верошпирон. Он имеет свойство снижать скорость образования соединительной ткани. Такой препарат нужно принимать в течение длительного времени.
Фиброз корней легких и других участков органа лечится и при помощи немедикаментозной терапии. Она включается в себя лечение кислородом, помогающее бороться с одышкой и улучшить состояние во время физических нагрузок. Если болезнь находится в тяжелой стадии, то пациенту следует пройти такие процедуры как плазмаферез и гемосорбция.
Положительный эффект оказывают и реабилитационные программы с физическими упражнениями. Подбираются они, каждому человеку индивидуально, учитывая общее состояние и особенности организма.
В некоторых случаях больному может требоваться пересадка легких. Показаниями к такой операции являются:
- гипоксия при физической нагрузке,
- уменьшение жизненного объема легких,
- тяжелая дыхательная недостаточность,
- сильное снижение диффузной способности легких.
По статистике выживаемость в течение 5 лет после данной операции составляет около 60%. Полностью фиброз легких вылечить нельзя, но можно постараться приостановить процесс образования фиброзной ткани. Для этого нужно постоянно посещать специалистов и выполнять все их рекомендации.
Источник:
Фиброзный тяж в легких: что это такое, виды, диагностика и лечение
Фиброз — болезнь, которая проявляется ускоренным синтезом коллагена и появлением соединительной ткани. Чаще фиброз наблюдается в молочной железе, печени, легких, предстательной железе. Причиной фиброза является хронический воспалительный процесс, таким образом, организм пытается изолировать очаг.
Виды и причины фиброза легких
Вследствие замещения здоровых клеток соединительной тканью, наблюдается снижение их эластичности. Это препятствует поступлению кислорода в кровеносную систему и затрудняет работу легких и сосудов. Стенки легочных пузырьков на вдохе перестают растягиваться, а при выдохе спадать.
Фиброз легких характеризуется быстрой заменой здоровых клеток на рубцовую ткань. При распространении патология затрагивает бронхи, лимфатические и кровеносные сосуды, иногда прилегающие органы.
По области поражения фиброз делят на следующие виды:
- односторонний , затрагивает одну из сторон органа,
- двусторонний , локально формируется на двух легких,
- очаговый , локализован на отдельном участке,
- тотальный или диффузный , захватывает все легкое.
Локальный фиброз – следствие разрастания рубцовой ткани в результате дистрофии или воспаления. В таком случае поражена небольшая область. Легочная ткань плотнее, а объем легкого меньше. Изменения не отражаются на газообмене. Человек может и не замечать болезнь.
https://youtube.com/watch?v=P2OSxRwD0YY
При диффузном фиброзе орган становится плотным и меньше в размерах. Газообменный процесс нарушается. В области поражения много коллагеновых волокон, появляются микроцисты.
В зависимости от того как разрастается соединительная ткань выделяют:
- Пневмофиброз. Тяжистый линейный фиброз характеризуется распространением соединительной ткани рядом со здоровой,
- Пневмосклероз. Ткань замещена на большом участке, происходит уплотнение органа,
- Легочный цирроз. Поражение обширно захватывает бронхи и сосуды.
Патологический процесс необратим, врачи могут только снизить проявление симптомов, улучшив тем самым качество жизни пациента.
Специалисты выделяют следующие причины появления фиброза:
- Длительный контакт с пылью органического и неорганического происхождения. Опасны диоксид кремния, мрамор, известняк, магнезит, асбест, угольная пыль, зерновая пыль, помет. К примеру, вдыхание пыли асбеста на производстве более 10 лет способно спровоцировать необратимые процессы в легочной ткани, которые могут проявиться спустя 20-30 лет.
- Осложнения после туберкулеза, пневмонии, системной красной волчанки, ревматоидного артрита, склеродермии, саркоидоза.
- Медикаментозное лечение. У некоторых пациентов, которые получали лучевую терапию при лечении опухоли, затем диагностировали фиброз. Лекарства, которые влияют на легочную ткань: химиотерапевтические (метотрексат, цеклафосфамид), кардиологические (амиодарон, кордарон, анаприлин), антибиотики (макробид). Болезнь развивается вследствие аллергической реакции на препарат или из-за его продолжительного приема.
Иногда врачи не могут установить точную причину заболевания. Тогда болезнь классифицируют как идиопатический фиброз. Считается, что он возникает после повреждения эпителия альвеол, вследствие курения, вирусных инфекций, хронической аспирации, наследственной предрасположенности.
Признаки и диагностика болезни
Диагностировать патологию на начальном этапе довольно сложно, поскольку болезнь в этот период не имеет специфических симптомов или они не вызывают беспокойство у больного.
Яркие проявления болезни наблюдаются только у 20% пациентов. К первым признакам фиброза относят кашель и одышку. Кашель сухой, постепенно переходит на влажный и учащается.
Одышка отмечается сначала только во время физической нагрузки, при прогрессировании болезни наблюдается в состоянии покоя.
Признаками легочного фиброза считаются:
- незначительная гипертермия,
- развитие болезней легких,
- симптомы сердечной недостаточности,
- дыхание учащенное и поверхностное,
- пальцы и слизистая рта приобретают синюшность.
Последний симптом возникает на поздних стадиях болезни. При тяжелом течении болезнь может распространяться и на другие органы, чаще всего сердце. Может происходить утолщение пальцев, становится выпуклой ногтевая пластина. Увеличиваются вены на шее, и наблюдается отечность конечностей.
При отсутствии адекватной терапии патология может способствовать появлению эмфиземы легкого, сердечной недостаточности, легочной гипертонии, рака.
При постановке диагноза врач принимает во внимание клинические, лабораторные, рентгенологические данные. Для того чтоб понять насколько нарушена деятельность легких проводятся тесты, которые замеряют силу выдоха, насыщенность крови кислородом, и деятельность легких во время физической нагрузки.
Для диагностики фиброза также используют рентгенологические методы:
- рентгенограмма необходима для визуализации легочного рисунка,
- компьютерная томография дает возможность увидеть очаговые, периферийные, субплевральные, сетевидные затемнения органа,
- эхокардиограмма нужна для подтверждения легочной гипертензии.
Может потребоваться биопсия органа, затронутого патологией. Бронхоскопия позволяет рассмотреть ткань легких, и определить процент поражения.
Как меняются легкие после коронавируса
Легкие после коронавируса COVID-19 могут иметь участки уплотнения (легочной фиброз), что проявляется снижением их функции – одышкой при физической активности. Дыхательная недостаточность развивается после вирусной пневмонии в случае ее тяжелого течения, обширного поражения легких, необходимости подключения к аппарату искусственной вентиляции легких.
Пациентам после перенесенной инфекции нужно находиться под наблюдением пульмонолога, пройти обследование (томография, спирометрия). Для восстановления функции легких используют дыхательную и лечебную гимнастику, ингаляции.
Чтобы предупредить тяжелые формы коронавирусной инфекции важно придерживаться рекомендаций по профилактике (мытье рук, ограничение контактов), отказаться от курения, пройти курс терапии при сопутствующих болезнях, применяют также и народные методы для укрепления иммунитета.
Как меняются легкие после коронавируса, как выглядят на рентгене
После проникновения коронавируса SARS-CoV-2 в клетки, выстилающие альвеолы (пузырьки для газообмена), в легких развивается вирусная пневмония. Доказано, что даже при бессимптомных вариантах есть изменения на рентгене.
Из-за повреждения внутреннего слоя альвеол вначале их пространство заполняется разрушенными клетками, эритроцитами и лимфоцитами крови.
Это нарушает вентиляцию, что проявляется клинически одышкой, а на рентгенограмме или томограмме определяются очаги затемнения (симптом «матового стекла»).
При прогрессировании болезни очаговые изменения сливаются между собой и занимают все большую площадь легочной ткани (симптом «белого легкого»). Это существенно ухудшает дыхание, вплоть до необходимости подключения больного к аппарату искусственной вентиляции легких. Между дольками уплотняются прослойки (перегородки) соединительной ткани (симптом «булыжной мостовой»).
Поражение легких коронавирусом на рентгеновских снимках
Через 14 дней или позже начинается рассасывание воспаления при эффективном лечении COVID-19. В первые месяцы после того, как коронавирус перестает выделяться (отрицательные тесты), отмечается снижение функции легких на 20-30%. Это происходит из-за потери способности жесткой волокнистой ткани полностью раскрываться.
Такое состояние называется легочным фиброзом и пока что нет понимания, насколько длительно он сохранится, будут ли эти последствия для легких после коронавируса необратимыми.
Для контроля легочной функции после COVID-19 пациентам необходимо находиться под наблюдением пульмонолога.
Понять, насколько полной восстанавливаются легкие, можно при исследовании изменений через полгода, а пока есть только данные о динамике за 2-3 месяца.
Всегда ли развивается фиброз легких после коронавируса
Фиброз легких (уплотнение из-за разрастания рубцовой ткани) преимущественно возникает у больных при:
- обширном поражении (очаги занимают от 50% легочных полей);
- тяжелом течении пневмонии (развитии острого дистресс-синдрома);
- применении искусственной вентиляции для спасения жизни;
- присоединении вторичной (бактериальной, грибковой) инфекции.
Состояние легких после коронавируса может не измениться при легком течении инфекции и средней тяжести, если терапия начата своевременно и проведена в полном объеме. Пока не поступали данные о том, что у подавляющего большинства есть осложнения в виде легочного фиброза после COVID-19.
Как узнать, что происходит с легкими после коронавируса
Наиболее точный метод, используемый для постановки диагноза пневмонии и показывающий, что происходит с легкими после коронавируса – это компьютерная томография. Даже при отрицательных тестах на РНК вируса (ПЦР-диагностика), типичные изменения, особенно в сочетании с одышкой, кашлем и температурой говорят в пользу COVID-19.
Смотрите на видео о том, что происходит с легкими после заражения коронавирусом:
Для того, чтобы оценить, насколько ухудшилась функция легочной ткани, есть ли дыхательная недостаточность и ее степень тяжести, назначают:
- анализ газового состава крови (парциальное давление кислорода, углекислого газа, рН крови и уровень бикарбонатов);
- пульсоксиметрию в динамике, днем и ночью, она показывает насыщение крови кислородом;
- измерение жизненной емкости легких и пиковой объемной скорости форсированного выдоха.
Клиническим признаком дыхательной недостаточности является одышка, когда пациент даже при небольшой физической нагрузке (например, ходьба в среднем темпе) начинает задыхаться. Вторым показателем является ускорение пульса, ощущение сильного и частого сердцебиения.
Как восстановить легкие после коронавируса
Для того, чтобы восстановить легкие после перенесенного коронавируса COVID-19, используют дыхательную гимнастику, лечебную физкультуру, ингаляции и другие методики физиотерапии, медикаменты.
Дыхательная гимнастика
Дыхательная гимнастика
Упражнения на дыхание начинают как можно раньше, чаще всего еще в стационаре.
На первых порах используют две дыхательные техники – глубокое и медленное дыхание животом, его задача включить в цикл вдохов и выдохов диафрагмальную мышцу.
Для этого вдыхают животом из положения лежа на спине, выпячивая брюшную стенку, а на вдохе живот должен опускаться, как можно глубже.
Второе упражнение лучше делать полусидя, когда грудная клетка находится на высоких подушках. На вдохе нужно постараться, как можно больше раскрыть грудь, отводя плечи назад, а на выдохе их переводят вперед и сжимают грудную клетку. Каждое из упражнений выполняют по 5-7 раз в зависимости от самочувствия, но каждый день нужно сделать не менее 3-4 циклов активного дыхания.
Эти упражнения дополняют надуванием воздушных шариков или детских игрушек, пусканием пузырей через трубочку в стакан воды.
Упражнение «Надувание воздушного шарика»
Затем, уже в домашних условиях, начинают практиковать задержку дыхания вначале на вдохе, а потом на выдохе, постепенно увеличивая ее продолжительность. Используют и упражнения на попеременное дыхание одной, потом другой ноздрей. Полезны дыхательные методики полного йоговского дыхания, упражнения пранаямы (с контролем циклов вдоха-выдоха).
Лечебная физкультура
Для разработки мышц грудной клетки и улучшения кровообращения в легких выполняют:
- круговые движения плечами вперед и назад;
- подъем плеч к ушам с резким сбросом на выдохе;
- повороты туловища в положении стоя вправо и влево (на повороте выдох, при возвращении в исходное положение вдох);
- подъем рук за голову (согнуть в локтях) и резкое опускание с выдохом вниз;
- круговые движения туловищем.
Все движения делают в комфортном темпе и начинают с небольшого числа повторений (3-7 раз) с плавным повышением нагрузки.
Ингаляции
Для ингаляций обязательно использовать небулайзер, так как обычные паровые процедуры испаряют только крупные капли, не попадающие в легкие. В зависимости от степени тяжести и вида остаточных явлений после перенесенной пневмонии для процедур готовят растворы с:
- антисептиками (Хлорофиллипт, Мирамистин);
- разжижающими мокроту (АЦЦ, Сода-буфер);
- морской водой (Маример, Сиалор Аква);
- бронхорасширяющими (Вентолин, Беродуал);
- откашливающими (Лазолван, Амбробене).
Физиотерапия
При необходимости рассасывания очаговых уплотнений в легких после коронавируса могут быть использованы методы физиотерапии:
- массаж грудной клетки;
- УВЧ;
- синусоидально-модулированные токи;
- электрофорез с ферментами (Трипсин, Химотрипсин).
Медикаментозная терапия при фиброзе легких
Для повышения эластичности легочной ткани при фиброзе легких могут быть использованы препараты:
- гамма-интерферон (Ингарон),
- Лонгидаза,
- Пульмозим,
- Варгатеф.
Их назначает только врач и применение проводят под контролем состояния легких. В комплексе восстановительной терапии используют витамины В6 и Е.
Есть ли возможность уменьшить проблемы с легкими во время коронавируса
Чтобы снизить риск повреждения легких во время коронавируса COVID-19, необходимо придерживаться всех рекомендаций по профилактике заражения (ограничение контактов с теми, кто может быть источником инфекции). Это означает, что чем меньше вирусов проникнет в организм, тем легче будет течение заболевания, а значит, больше возможностей для борьбы с ними у иммунной системы.
https://youtube.com/watch?v=AH9CCzXETgA
Улучшают шансы на сохранение здоровья легких:
- отказ от курения;
- профилактические курсы лечения сопутствующих болезней, особенно при хронической бронхолегочной патологии;
- контроль показателей артериального давления и сахара крови при гипертонии и сахарном диабете;
- регулярные занятия лечебной и дыхательной гимнастикой.
Для укрепления иммунитета используют народные средства:
- чай из плодов шиповника, черной смородины, калины, облепихи (столовая ложка измельченных ягод на стакан кипятка) пить по 2-3 стакана в день;
- тертый имбирь с лимоном и медом в равных частях, принимать по столовой ложке 3 раза в день, запивать теплой водой;
- мед и цветочную пыльцу (по чайной ложке) растворить в 50 мл воды комнатной температуры, пить натощак утром;
- настойка прополиса – 15 капель на 50 мл воды или молока один раз в день;
- отвар из зерен овса – стакан зерен залить 2 литрами кипяченой воды на 8 часов (на ночь), потом варить на медленном огне 1,5 часа, принимать по 0,5 стакана 3 раза в день, хорошо добавлять мед или варенье из сосновых шишек.
Высокой эффективностью обладает спелеотерапия (соляные ингаляции в специальных комнатах), но перед началом сеансов необходима индивидуальная консультация врача. С профилактической целью используют и хвойные ванны, баню, сауну при отсутствии противопоказаний.
Легкие при коронавирусе поражаются из-за развития вирусной пневмонии, при обширных участках остаются очаги разрастания соединительной ткани, что проявляется ухудшением дыхания. Для восстановления функции применяют дыхательную гимнастику, ингаляции и другие физиопроцедуры.
Источник:



