Подробная расшифровка рентгенографии легких
› Исследования › Рентген ›
Рентгенография – информативный метод исследования внутренних органов и тканей, в том числе дыхательной системы. Но для постановки диагноза просто сделать снимок недостаточно, важна правильная расшифровка рентгена легких. Интерпретируя рентгенограмму, можно найти патологию, определить её этиологию, проследить динамику заболевания и оценить эффективность терапевтических мероприятий.
Протокол описания рентгенограммы лёгких врачом
Увидеть на снимке явные патологические образования смогут терапевт, пульмонолог и другие врачи.
Но для того чтобы детально расшифровать рентген легких, выявить малейшие отклонения от нормы, используют регламентированный алгоритм – протокол описания рентгенограммы.
Делает это врач узкой специализации – рентгенолог. Согласно с этим протоколом, анализ рентгенограммы включает следующие пункты.
- Название процедуры – наименование исследуемой области, проекция (прямая, боковая).
- Оценка симметричности лёгочных полей.
- Присутствие теней, свидетельствующих о патологии, их тип – очаговые, инфильтративные, диффузные. Если есть просветления, их тоже нужно указать в описании.
- Анализ лёгочного рисунка. Несоответствие нормальной картине говорит о проблемах с сосудами лёгких.
- Состояние корней лёгких. Фиксируется нарушение структурности лимфоузлов, оценивается состояние крупных бронхов.
- Тени органов средостения. Особое внимание уделяется теневому рисунку частей сердца и крупных сосудов – дуг желудочков, аорты, лёгочной артерии.
- Состояние диафрагмы и лёгочно-диафрагмальных углов – симметричность стояния органа, угол синуса, заполненность (присутствие выпота свидетельствует о плеврите).
Как правильно расшифровать рентген лёгких
При расшифровке снимка легких очень важно всё правильно описать. Рентгенологи должны учитывать качество снимка, наличие теневых областей на рентгенограмме, их расположение, размер и другие параметры.
Стандартный рентген лёгких делают в двух проекциях. На них отчётливо просматриваются лёгочная ткань, кости (рёбра, ключицы, плечевой пояс), купола диафрагмы, накладывающиеся друг на друга тени сердца, сосудистого пучка, органов средостения, позвоночника, грудины.
Оценка качества снимка
На качество снимка рентгенографии могут повлиять различные факторы. Если нарушить технологию его выполнения, то в итоге можно неправильно поставить диагноз. Вот что влияет на качество изображения:
- несимметричное положение тела. Если нарушить требование симметричности, можно ошибочно поставить диагноз «смещение позвонков грудного отдела»;
- жёсткость/мягкость снимка;
- наличие артефактов (дополнительных теневых областей) и заболеваний, которые оказывают влияние на состояние грудной клетки пациента;
- охват. На изображении должны присутствовать рёберно-диафрагмальные синусы снизу и вёрхние лёгочные поля;
- лопатки пациента должны располагаться снаружи от грудной клетки. В противном случае расшифровка усложняется;
- изображения должны быть одноконтурными. Динамическая резкость говорит о том, что пациент дышал во время исследования. Такой снимок нельзя интерпретировать, его требуется переделать;
- уровень контрастности определяется полями, которые дают затемнение и просветление. На основании этого можно понять, является ли тёмный или светлый участок патологией, или это особенность проявителя снимка.
На снимок легких влияет направление рентгеновских лучей.
Расшифровка рентгена лёгких – особенности анализа грудной клетки
Порядок исследования при рентгенографии разных органов и систем различается. Рентген лёгких имеет такие особенности.
- Большое значение имеют правильные положение тела пациента и его постановка. При нарушении этого условия могут исказиться расположение лёгочных полей, раскрытие лопаток, в момент дыхательного акта – общая картина.
- Важно исключить попадание артефактов на снимок – украшений, пирсинга и подобных деталей. Они могут заслонить патологические очаги, помешать целостности восприятия изображения.
- Надо проконтролировать полноту захвата – на итоговой картинке должны присутствовать верхушки, поля, диафрагмальные синусы.
- Для получения информативного изображения следует регулировать силу рентгеновских лучей, исходя из телосложения человека, наличия жировых отложений. Для полных пациентов нужно увеличить дозу рентген-лучей.
Анализ анатомических структур на нормальной рентгенограмме лёгких
Лёгкие – это орган, наполненный воздухом. Рентгеновские лучи через него проходят практически беспрепятственно. Поэтому лёгочное поле будет выглядеть, как просветлённый участок, окрашенный на рентгенограмме в чёрный цвет. Твёрдые ткани (кости), наоборот, визуализируются белыми. Корни лёгкого, будучи более плотными, чем лёгочные поля, задерживают часть лучей, поэтому они немного светлее.

Тени на рентгене могут обозначать как нормальные образования, так и патологические. Задача врача – определить, является ли затенение чем-то опасным для пациента. Вот что можно увидеть на здоровых лёгких:
- костный скелет;
- лёгочные поля и лёгочный рисунок;
- корни лёгкого;
- средостение;
- тень сердца;
- купол диафрагмы.
Поля – однородные, рисунок – чёткий. Деление на доли или сегменты будет неразличимым.
Особенности анализа лёгочных полей
Если на рентгенограмме нет тёмных или светлых областей, то это не значит, что заболевания отсутствуют. Врач должен внимательно изучить лёгочные поля. Вот какие особенности требуется учитывать во время расшифровки:
- правое поле должно быть коротким и широким, а левое – узким и длинным;
- из-за сердца срединная тень должна быть слегка расширена влево;
- при описании оценивают три пояса – нижний, верхний и средний;
- уровень прозрачности можно определить по воздухо- и кровенаполнению, объёму паренхиматозной ткани органа;
- у женщин изображение может слегка перекрываться молочными железами;
- лёгочная плевра в нормальном состоянии не прослеживается, но становится заметной во время воспалительных процессов или при опухоли (при наличии патологий требуется выполнить дополнительно боковую рентгенограмму).
Лёгочные доли для удобства разделяют на сегменты: в правом лёгком их 10, в левом – 9. Если при расшифровке рентгенограммы выявлены отклонения, в заключении указывается номер сегмента, где они расположены, и тип патологии в соответствии с кодификатором:
- 01 – полость;
- 02 – затемнение, в проекции лёгких;
- 03 – очаговые тени, там же;
- 04 – увеличение тени средостения;
- 05 – плевральный выпот;
- 06, 07 – фиброз лёгочной ткани;
- 08 – увеличение прозрачности лёгочной ткани;
- 09, 10 – поражение плевры;
- 11-18 – петрификаты;
- 19 – патология диафрагмы;
- 20 – остаточные послеоперационные признаки;
- 21 – патологии скелета;
- 22 – инородное тело;
- 23 – патология сердечно-сосудистой системы;
- 24 – отклонения, не относящиеся к стандартным;
- 25 – пациент здоров;
- 26 – снимок забракован.
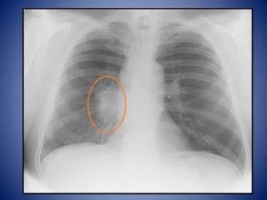
Описание снимка при онкологии
Опухоль на рентгене выглядит, как «плюс-ткань» или характерное затемнение. Её контуры, как правило, нечёткие, так как онкологическое заболевание прогрессирует, распространяясь на здоровые клетки. Чем темнее изображение, тем сильнее поражение тканей. Наличие округлых очертаний говорит о наличии в органе метастазов.
На второй стадии рака поражаются локальные лимфоузлы, это выражается в нарушении структурности корня лёгких. Лимфатические ткани увеличиваются в размерах, формируются метастазы.
На более поздних стадиях опухоль уже достаточно большая, распространяется на значительную часть органа. Усиливается лёгочный рисунок, поскольку растущее новообразование требует усиленного кровоснабжения, в связи с чем наблюдаются признаки гипертензии. Часто наблюдается плеврит – визуализируется контур плевры, просматривается патологический транссудат – жидкость в синусах органа.
Диагноз подтверждается при наличии сопутствующих симптомов – резкой потери массы, кахексии, симптомов интоксикации (повышенной температуры, слабости, вялости, утомляемости, сонливости, апатии). Часто болезнь диагностируется у курильщиков.
Особенности, погрешности
На рентгеновском снимке воспалительный и опухолевый процессы выглядят почти одинаково. При интерпретации изображения учитывают такие особенности типичной рентгенограммы опухоли:
- лёгочный рисунок – не меняется;
- в прилежащих отделах тени отсутствуют или являются одиночными;
- поражённые ткани имеют бугристую поверхность, лучистые контуры;
- корни лёгких изменены только на последних стадиях;
- тени имеют однородный оттенок.
Рентгенограмма при пневмонии
Пневмония, или воспаление лёгких, отчётливо просматривается на рентгене. Правда, на начальной стадии могут возникнуть сложности. Вот что можно увидеть на снимке при воспалительном процессе:
- очаги воспаления в виде затенений различного размера;
- уровень поражения органа;
- воспалённую плевру и бронхиальное дерево;
- расширение корня лёгкого, как реакцию лимфатической системы на заболевание;
- усиление лёгочного рисунка.
Очаги воспаления могут иметь размеры до 1,5 см. Форма инфильтрата может быть любой. Размер поражённой области оценивается на фронтальном и боковом снимках.
Что можно увидеть на снимке курильщика
У курильщиков со стажем обычно развивается хроническая обструктивная болезнь лёгких. При этом лёгочный рисунок будет усилен, особенно в нижних отделах. Компенсаторно встречаются участки просветления – эмфизема.
У курильщиков увеличивается размер между рёбрами, диафрагма постепенно опускается, а купола – сглаживаются. Угол между ребром и диафрагмой постепенно превращается из острого в прямой. Как результат, возникает гипоксия, или дефицит вентиляции лёгких. При этом орган не может нормально выполнять свою функцию.
Что не описывает расшифровка рентгеновских снимков лёгких
Не всё можно диагностировать при помощи рентгена. В частности, на снимке не получится увидеть следующее:
- небольшие злокачественные новообразования, размер которых – менее 5 мм (на ранней стадии онкологии нужно применять компьютерную томографию для визуализации поражённых участков);
- тромб, размер которого менее 5 мм;
- стелющиеся опухоли.
Где и как можно получить мнение независимого врача по вашему снимку
Если есть сомнения в квалификации врача, пациент имеет право на обращение к другому специалисту. Для этого надо взять снимок и записаться на приём к врачу этого же или другого медицинского учреждения.
Не исключено, что потребуется пройти повторное обследование, чтобы исключить вероятность ошибки.
Сравнив результаты, можно понять, действительно ли речь идёт, например, о новообразовании, или это был артефакт на снимке.
Подробная расшифровка рентгенографии легких Ссылка на основную публикацию
Источник:
Какие можно увидеть патологии легких на рентгене или на флюорографии
Стать поводом для флюорографии (ФЛГ) и рентгена может разная симптоматика.
Начиная от сухого кашля, болей в легких и заканчивая беспричинной потерей веса и общей слабостью – все перечисленное может быть показанием для назначения одного из указанных обследований.
Нередко случается так, что рентгенографические находки в дополнение к имеющимся признакам меняют клиническую картину заболевания. Тогда говорят, что обнаружена патология легких на рентгене или на флюорографии.
В основу ФЛГ и рентгена заложен единый диагностический принцип, но они различны технологией получения снимков.
Рассматриваемые методы исследования связаны с разной степенью проницаемости тканей организма рентген-лучами. Кости, задерживающие максимум лучевой нагрузки, видны на снимках в белом цвете.
Полости, заполненные воздухом, отражаются в формате черного, а мягкие ткани органов дают сероватые оттенки.
При ФЛ-обследовании получают изображение небольшого размера, которое переносится на пленку (по устаревшей технологии) или оцифровывается с записью на компакт-диски. При этом четкости изменений легких на фото может и не быть, на снимках будет лишь изображение в тонких линиях.
В случаях серьезных подозрений на болезнь легких назначается рентгенография, позволяющая получать фотоснимки в большом формате и в высоком разрешающем качестве.
Поэтому, флюорография применима для профилактических обследований легких большей части населения, а рентгенологический метод – диагностика, выявляющая ранние стадии различных легочных патологий и отслеживающая их динамику в ходе лечебных мероприятий.
Особенности визуализации патологии на снимках рентгена
Рассмотрим ряд изменений, видимых на рентген-снимках. Абсцесс легкого на рентгенограмме проявляется участками гнойных образований с отделенными полостями и локализацией в прикорневой зоне или в толще самого органа. Независимо от размеров указанной патологии рентгенография сразу выявит изменения в легких, особенно наглядно это будет выражено при прорыве гнойника в бронхи.
Неправильной формой с неровными очертаниями затемнений отображается инфильтрация легочной ткани на рентгене. Если инфильтрат имеет воспалительную форму, то бронхи часто наполнены воздухом, что на снимке визуализируются в виде светлых ветвящихся полос. Это характерно для пневмонии и туберкулеза.

Проявления саркоидоза I и II стадий обусловлены изменениями легочного рисунка, определяющегося его усилением и избыточностью по центру и низу легочных полей.
Помимо этого, могут наблюдаться бугорковые поражения плевры с формированием саркоидных гранулем.
Рентгенологическая картина при саркоидозе III стадии визуализирует пневмофиброз в виде бабочки или его диффузную форму с деформированным легочным рисунком, грубыми тяжистыми тенями и участками эмфизем – расширенных бронхиол.
О тотальном затемнении и корнях легких на рентгене
к случаям затемнений относят замещения части легкого образованиями с плотной массой, вытесняющими воздух. это явление наблюдается при пневмониях, опухолевых новообразованиях, экссудативном плеврите. при полном затемнении легочного поля (2/3 и более его поверхности) диагностируют тотальное затемнение.
при расшифровке снимков усиленное внимание уделяется корням легких: рассыпчатым и магистральным. у первых развита сосудистая сеть, переходящая в тяжи, вторые представлены артерией легкого.
к признакам патологии относят усиление, уплотнение, тяжистость и расширенность корней.
тяжистые корни на фоне воспаления – один из признаков туберкулеза (твс). к примеру, его инфильтративная форма – перисциссурит на рентгене покажет подобную картину с утолщением междолевой щели. легочные ткани и корни деформируются при эмфиземе (расширении воздухоносных пространств).
повышается прозрачность рисунка, а сами ткани становятся воздушными. снимок даст изображение увеличенного позадигрудинного пространства с опущением диафрагмы и нижних краев легких. полную картину эмфизема легких на рентгене раскрывает при выполнении латерального и фронтального снимков.
кисты визуализуются в виде затемнения с рогообразными ответвлениями из бронхов или овала. здесь же наблюдаются выпячивания бронхиальных стенок, затемнения колбообразной формы. подобная симптоматика иначе называется синдром кольцевидной тени на рентгенограмме легких.
существуют разные виды кист в зависимости от разности классификационных признаков:
- по количеству полостей: одиночные и множественные;
- по содержимому: заполненные и воздушные;
- по месту локации: дву- и односторонние;
- по форме: закрытые и открытые;
- по способу появления: врожденные, дизонтогенетические и ложные.
кисту ложную (после легочных заболеваний или травм грудной клетки) может дать перенесенная гангрена легкого на рентгене. последняя относится к тяжелой патологии с распадом легочной ткани и прорывом гноя в бронхи.
часто диагностируются ретенционные кисты с тонкостенной тенью, округлые с неровным контуром.
при своевременном выявлении и лечении данной кисты, например, у плода предотвращают осложнение, связанное с ателектазом (спадением легочной ткани с исключением из газообмена).
ателектаз легкого на рентгеновском снимке даст затемнение поля легкого со смещением средостения и высоким положением диафрагмы в сторону поражения.
о других видах рентген-изменений, вызванных патологическими состояниями
вследствие перенесенных хронических бронхитов, пневмонии, плеврита, могут возникать нарушения с кровеносными сосудами легких, а впоследствии – с деятельностью сердца. рентген-признаки легочной гипертензии (повышенного давления) отмечаются: уменьшением калибра периферических сосудов, связанным с нарушениями в кровообращении; увеличением крупных ответвлений легочной артерии.
патология, вызванная хронической обструктивной болезнью легких (хобл), сложно диагностируется на ранней стадии, поскольку утолщение стенок бронхов может свидетельствовать об иных заболеваниях. позже присоединяются другие признаки хобл на рентгене легких, выраженные деформацией бронхиальных стенок, повышением их плотности, увеличением тени сердца.
с отеком легких связано опаснейшее состояние, когда в воздухоностном отделе органов легких появляется пропотевание сквозь сосудистую стенку малого круга в связи с высоким давлением плазмы. увеличенную сердечную тень, силуэт рисунка «летучей мыши», наличие пятнистых теней, инфильтрантов в перибронхиальной части дает рентгенологическая картина при отеке легких.
флюорографическое обследование относится к обязательной профилактической процедуре для населения, направленной против туберкулеза. и хотя качество снимков не дает четкого представления о патологических изменениях в легких, но все же они видны.
например, на флг в 60 % случаев выявляется саркоидоз легких, не говоря про туберкулез. а высококвалифицированный врач-рентгенолог сможет на снимке определить и линии керли, появляющихся при канцероматозе (поражении метастазами при онкоболезни) и пневмофиброзах с разрастанием соединительной ткани легких.
рассмотрим основные заключения по флюорографическим расшифровкам.
о чем расскажут корни легких
при протекании острых бронхитов и пневмоний возникают расширения и уплотнения корней, что связано с отечностью бронхов, больших сосудов или с увеличением лимфоузлов. подобные симптомы говорят о воспалительных процессах. если отмечаются изолированные уплотнения – это значит, что увеличено количество соединительных тканей в корневых структурах.
признак тяжистости корней может свидетельствовать как об остром, так и хроническом процессе в органе. на фоне с расширением и уплотнением – это типично при хроническом бронхите курильщиков, а также в совокупности с иными признаками – может давать и более серьезные болезни, например, онкозаболевание. с тяжистостью корней будет связана и хобл на флюорографии.
что диагностируется по усиленному легочному рисунку
следует сказать, что любое острое воспаление влечет за собой усиление сосудистого (легочного) рисунка. данный симптом связан с интенсивным кровоснабжением пораженной зоны легкого.
помимо банальной острой респираторной вирусной инфекции (орви), бронхита, наряду с другими признаками, указанная симптоматика имеет место при обнаружении митрального стеноза, сердечной недостаточности, изменениях склеротичного характера, пневмоните (одной из стадий онкозаболевания).
исчезновение усиленного сосудистого рисунка на фоне воспалительных процессов проходит на протяжении двух недель после выздоровления.
частым явлением на флг-снимках является визуализация пятен и затемнений. белые пятна на флюорографии легких свидетельствуют об увеличении тканей за счет изменения их плотности.
когда же речь идет о нарушениях в структурности ткани, то на дыхательном органе фиксируются различного рода затемнения. к наиболее важным факторам их идентификации относят форму и размеры затемненных участков.
в таблице ниже приведены наиболее распространенные случаи того, что означают темные пятна на снимке флюорографии:
| затемнения по нижним долям легких в стадии болезни, впоследствии могут оставаться узлы, которые постепенно рассасываются | пневмония |
| явление скопления жидкости в полостях плевральных складок | плеврит с воздухонепроходимостью участков |
| наличие темных пятен по верхним отделам легких при заболевании либо рубцов после него | туберкулез |
| любой из симптомов злокачественного новообразования, диагностирующегося только проведением биопсии | раковая опухоль |
| округлые пятна на легких, вызванные патологическими изменениями на воздействие никотина (у курильщиков со стажем) | курение |
выявление кальцинатов
к кальцинатам относятся округлые тени, которые своей плотностью похожи на ткани костей. подобные образования формируются в местах локализации воспаления, вызванного инфекциями, в том числе палочкой коха. туберкулезная микробактерия изолируется наслоением соли кальция. также происходит изоляция очагов глистной инвазии, пневмонии.
упомянем о редкой форме заболевания, связанного с кальцинированием, так называемом очаге гона – одной из типов проявления туберкулеза. диагностика этой болезни сложная и требует рентген-исследований в течение 4-6 мес.
очаг гона на рентгенограмме и флюорографии может показывать кальцинированные очаги, что связано с постоянной борьбой организма с туберкулезной инфекцией.
при указанной болезни очаги могут быть и другого вида, например, фиброзного.
кратко о спайках
спаечные изменения – результат воспалительных процессов, отражающихся на легочной оболочке (плевре).
их возникновение вызвано защитной реакцией организма на появление в нем инфекции, призванной «отсечь» зону воспаления от здоровых клеток.
обычно подобные флг-находки не вызывают опасений, к врачу обращаются только при сильных болевых ощущениях, сопровождающих спаечный процесс, например, при сухом плеврите.

на снимке отражаются и плевральные утолщения по верху легких, называемые плевропикальными наслоениями. данный симптом говорит о перенесенном туберкулезном заболевании плевры.
рентгенограмма и флюорограмма курильщика: в чем отличие от нормы
Курение сигарет наносит непоправимый вред дыхательной системе человеческого организма, что особенно сильно проявляется при многолетнем стаже, вязаного с этой вредной привычкой. Рентген легких курильщика и здорового человека отличаются.
Для рентгенологических снимков курящего в день по одной пачке сигарет характерно присутствие полостных образований в бронхах (бронхоэктазов) и сгущение легочного рисунка. Прикорневые области также претерпевают изменения, что связано с их деформацией, размытостью и плохим выделением их признаков по снимку, дополнительными тенями.
Флюорография легких курильщика показывает картину легких с множественным количеством пор, образованных изменениями воспалительного характера и бронхиальными дефектами. Это связано с гибелью клеток дыхательного древа и дисфункцией альвеол, которые способствуют доставке кислорода в ткани.
Вышеуказанные симптомы формируют дыхательную недостаточность. На снимках выражаются просветлениями полей легких, означающих повышенную воздушность. Постепенно из нижней части этот признак перемещается вверх легочных полей.
Из сказанного выше понятно, может ли показать флюорография, что человек курит.
Флюорографию для профилактики проходят один раз в 2 года. Но курильщикам указанное обследование нужно сделать процедурой ежегодной, поскольку подобное тестирование поможет отследить изменения в системе легких и выявить ранние проявления более серьезных болезней.
На задаваемые вопросы типа, можно ли курить перед флюорографией, однозначно ответ будет положительным. Одна выкуренная сигарета перед ФЛГ не сможет повлиять на результат обследования. Патология от никотина возникает постепенно, также как и воздействие на легкие от плохой экологии и вредных профессиональных условий. Установленные признаки изменений не являются доказательством курения.
Сказать определенно, видно ли на рентгене что человек курит, нельзя. Только со временем накопление ряда рентген-признаков позволяют это сделать по снимкам курящего.
Перед самой процедурой обследования невозможно провести чистку легких. Для этого нужно бросить курить, что даст возможность организму постепенно очиститься от ядов. Время восстановления займет не менее 1 года и будет зависеть от продолжительности и последствий курения. Это кратко о том, как очистить легкие перед флюорографией.
Независимо от метода обследования при расшифровке результатов следует давать только комплексную оценку обнаруженных при визуализации элементов патологии. В обязательном порядке необходим сопоставляющий анализ, характеризующийся особенностями анатомического строения органов дыхания конкретного пациента.
И, само собой разумеется, заниматься этим должны специалисты-рентгенологи, желательно, с большим опытом и высокой квалификацией.
: Пневмония на снимке
: Загрузка…
Источник:
Затемнение в легких: о чем свидетельствует изменение?
О чем свидетельствуют затемнения различного характера в легких.
Флюорография легких – это обязательное мероприятие в рамках ежегодного профилактического осмотра. Она необходима для того, чтобы своевременно выявить патологические состояния легких и начать их лечение как можно раньше.
Нередко, на снимках бывают заметными некоторые области затемнения в легких. Большинство пациентов, узнав об этом, начинают паниковать.
Тем не менее, паника – не всегда уместна, ведь требуется определить причину подобного изменения. Не всегда затемненные области органа на флюорографии являются показателями серьезного патологического процесса – они могут возникать исходя из множества причин.
Что такое затемнение легких?
Легочные патологии по большей части сопровождаются возникновением областей с уплотненными легочными тканями – данное явление возникает вследствие понижения либо полного отсутствия воздушной проходимости на определенных зонах органа, что отображается на рентгеновском снимке в качестве затемненного участка. Описанное симптоматическое проявление способно указывать на патологические процессы как непосредственно в тканях, так и за пределами органа.
Всегда ли затемнения на флюорографии являются поводом для беспокойства.
Изменения, которые возникли вследствие патологических процессов легочных тканей, могут иметь отличия по собственной интенсивности, количеству, размерным данным и четкости границ.
https://youtube.com/watch?v=uuUMNSa25q8
Изменения способны указывать на следующие патологии:
- воспалительные процессы и последующее уплотнение тканей;
- опухолевые новообразования;
- спадание, которое образовало непроходимый для воздуха участок;
- прогрессирование туберкулезной инфекции;
- жидкость в плевральной полости;
- воспалительные процессы плевральной области, в том числе и гнойные (абсцессы).
Изменения легких, которые возникают под влиянием нарушений в прочих органах, также могут отображаться на снимках.
К подобным нарушениям относятся такие:
- новообразования ребер и позвоночника;
- нарушения в области пищевода, к примеру – его расширение;
- увеличение размеров лимфатических узлов.
Перечисленные причины затемнения в легких на рентген снимке не говорят о каких-либо патологических процессах непосредственно в дыхательных органах.
Какие бывают типы изменений?
Распространенные типы изменений.
В зависимости от типа затемнения на рентгеновском снимке определяется происхождение пятна.
В целом выделяется несколько видов потемнений органа, видимых на флюорографическом снимке:
Основные разновидности признаков, проявляющихся на рентгенограммеТип измененийОписаниеОчаговые
Пятна часто имеют незначительные размеры. Могут свидетельствовать о развитии патологий сосудов.
Подобные изменения могут указывать на развитие таких патологий как:
- туберкулез;
- инфаркт легкого;
- периферический рак.
ДолевыеМожет указывать на развитие гнойного процесса.Фокусные
Единичные пятна характерны для:
- пневмонии;
- туберкулез;
- киста;
- абсцесс.
Неопределенная форма
Изменения неопределенной формы могут проявляться при следующих патологиях:
- пневмония;
- инфаркт легкого;
- плеврит;
- опухоль.
Сегментарные
Могут проявляться в результате:
- раковых образований;
- образований доброкачественного характера;
- распространение метастаз;
- туберкулез.
В зависимости от характера образования и предполагается патология, которая его спровоцировала. На основании данной информации можно сделать вывод о том, что рентгенография является недостаточно информативным методом обследования.
Очаговое затемнение легочных тканей
Какие методы позволят определить точный диагноз.
Очаговые изменения представлены небольшими, до 1 сантиметра, пятнами-узелками. Они возникают при течении воспалительных и опухолевых процессов легких, а также по причине нарушений сосудистого характера.
Указанное затемнение в легких может являться намеком на развивающееся заболевание дыхательного органа. Руководствуясь исключительно рентгеновским снимком нельзя точно указать на причину-источник возникновения очага и его характер.
По этой причине назначаются вспомогательные варианты обследований, в том числе компьютерная томография и еще одна рентгенография. Кроме указанного, пациенту требуется сдать анализы мочи, крови и мокроты.
Когда очаговые затемнения на флюорографическом отображении легкого сопровождаются некоторыми симптоматическими проявлениями, то есть:
- слабостью общего характера;
- болезненностью области грудной клетки;
- продуктивным либо непродуктивным кашлем;
- болями головы;
- повышениями показателей общей температуры тела.
Возможно предположить наличие пневмонии – то есть воспалительного процесса легочных тканей, который спровоцирован каким-то инфекционным поражением. Когда после исследования крови не было обнаружено каких-либо отклонений от нормы, возможно предположить наличие очагового туберкулеза.
При этом пациент замечает за собой следующее:
- отсутствие аппетита;
- слабость общего характера;
- повышенная беспричинная раздражительность;
- болезненность области грудной клетки;
- сухой, то есть непродуктивный, кашель.
Важно! При подозрении на туберкулез назначается ряд вспомогательных диагностических мероприятий. Клиническая картина в комплексе с данными рентгенографии позволяет определить диагноз пациента.
Инфаркт легкого достаточно часто выражается тромбофлебитом нижних конечностей, болезненностью сбоку, кровохарканием и сердечными патологиями. Малый периферический рак определяется на снимке флюорографии сразу.

Перечисленные патологические процессы являются наиболее распространенными причинами возникновения на флюорографическом снимке теней очагового характера.
Круглые, иначе – фокусные
Единичные, то есть – одиночные круглые тени размером большим, чем 1 сантиметр, могут являться признаками разнообразных заболеваний. Они требуют более внимательного и тщательного исследования для установления истинного диагноза.
Подобные фокусные проявления на флюорографическом снимке могут свидетельствовать о таких патологических состояниях, как:
- Воспалительные процессы легочных тканей, то есть – пневмонии;
- Эозинофильный инфильтрат, которым может иметь отношение к паразитарному поражению организма, приему различных медикаментозных лекарственных средств, астмой бронхиальной и прочими причинами.
- Туберкулома.
- Абсцессы.
- Локальный выпот, то есть повышение объемов жидкостей в легочных тканях.
Причинами пятен круглой формы, отображающихся на рентгенограмме, могут выступать кистозные образования врожденного либо приобретенного характера. Они могут быть заполненными воздушными массами либо жидкостью.
Когда проявление изменений не является опасным.Важно! Указанные затемнения могут быть вызваны опухолевыми образованиями, как злокачественного, так и доброкачественного характера.
К доброкачественным новообразованиям относятся такие:
К новообразованиям злокачественного характера относятся саркома.
Шарообразна костная мозоль, образовавшаяся вследствие перелома ребра либо островных реберных участков, также может становиться причиной фокусной тени на флюорографическом снимке. Указанный фактор должен всегда приниматься в расчет в ходе расшифровки полученного рентгеновского изображения.
Основные причины проявления подобных изменений на снимках подробно рассмотрены в видео в этой статье.
Затемнение сегментарного характера
Какие методы обследования органов могут использоваться.
Затемнение может быть локализированным, то есть быть представленным обособленными сегментами разнообразной формы, в основном – сегменты имеют сходные с треугольником, границы.
Подобных участков может быть отображено на флюорографическом снимке несколько и окончательный диагноз ставится исключительно после выполнения комплексного обследования.
Затемнение обособленных сегментов на 1 либо двух легких может повествовать о таких патологических состояниях, как:
- Эндобронхиальные опухолевые образования, которые могут носить как доброкачественный, так и злокачественный характер.
- Инородном теле, которое находится в легочной полости.
- Механическом повреждении легочных тканей.
Присутствие нескольких сегментарных теней на рентгеновском снимке дыхательного органа может говорить о таких патологических изменениях:
- Воспалительные процессы легочных тканей острого характера – пневмония.
- Туберкулез либо прочие негативные процессы воспалительного характера.
- Воспалительные процессы легочных тканей хронического характера, то есть – хроническая пневмония.
- Центральный рак.
- Стеноз, то есть – сужение центрального бронха.
- Метастазы образований злокачественного характера в прочих органах.
- Скопление малых объемов жидкостного содержимого в плевральной полости.
Не всегда несколько сегментарных теней на рентгеновском снимке дыхательных органов говорит о том, что у пациента имеется заболевание, которое несет прямую угрозу жизни.
Затемнения на снимке, имеющие неопределенную форму
Затемнения на рентгеновских снимках дыхательных органов, которые не имеют определенной формы и четких границ наиболее часто являются отображением пневмонии, которая была спровоцирована стафилококком.
У указанного патологического процесса имеется две формы – первичная и вторичная:
- Первичная форма возникает по причине наличия воспалительных процессов, которые протекаю в бронхах либо легочных тканях.
- Вторичная форма патологического процесса возникает вследствие гематогенного занесения из любого очага гнойного воспаления, который присутствует в организме пациента.
Какие заболевания могут провоцировать проявление неопределенных затемнений на снимке.Факт! Данный очаг может быть представлен аднекситом, остеомиелитом и прочими заболеваниями. В последние несколько лет, воспаление легких стафилококкового происхождения стало достаточно распространенным явлением.
Подобное затемнение также может свидетельствовать о таких состояниях патологического характера, как:
- кровоизлияния;
- опухолевые процессы легких;
- скопление жидкости;
- инфаркт легкого и прочие.
Определить точную причину возникновения подобных теней на рентгеновском снимке без проведения вспомогательных типов исследования невозможно.

К примеру, такие тени могут свидетельствовать о воспалительных процессах легких либо подтверждать наличие выпота в плевральной полости, особенно при условии наличия таких симптоматических проявлений, как:
- боли головы;
- слабость общего характера;
- интенсивные приступы кашля;
- повышенные показатели общей температуры тела.
Руководствоваться одним лишь рентген-снимком (на фото) в ходе постановки окончательного диагноза врач не имеет права, так как вероятность допущения ошибки крайне велика.
Рентгенография не всегда является информативным методом обследования.
Инструкция всегда требует проведения дополнительных мероприятий, это необходимо, потому что цена ошибки может быть достаточно высокой.
Затемнение долевого характера
При затемнение долевого характера, контуры тени достаточно четкие и хорошо определяются на рентгеновских снимках.
Они могут иметь различные формы:
- вогнутую;
- выгнутую;
- выпуклую;
- прямолинейную и прочие формы.
Долевое затемнение легких может являться признаком любого патологического процесса с хроническим характером течения. При томографическом исследовании легко определяются такие заболевания, как бронхоэктомия, цирроз, заболевания гнойного характера и прочие.
Долевые затемнения.
Все перечисленные процессы патологического характера на томографических снимках легко отличаются от образований онкологического характера. По этой причине необходимость точного выявления злокачественного новообразования образуется лишь при обнаружении обструктивных процессов бронхиального дерева – воспалительное либо же рубцовое образование.
Важно! Доброкачественные и злокачественные опухолевые процессы зачастую возникают в промежуточном бронхе, и при этом затемняется либо средняя, либо нижняя доля дыхательного органа.
С присутствием жидкости
Затемнения на рентгеновском снимке подобного типа могут указывать на развивающийся отек дыхательного органа. Данное явление может происходить по причине высоких показателей кровяного давления в капиллярах легких либо же при заниженном содержании белка в крови.
Жидкость является препятствием для нормального функционирования органа дыхания. Отек может быть двух видов и имеет прямую зависимость от провоцирующих факторов.
После выявления затемнений в легких врач должен определить необходимость проведения других диагностических мероприятий.
Гидростатический отек дыхательного органа может быть спровоцирован завышением показателей внутрисосудистого давления, что становится причиной повышения рисков выхода жидкостной составляющей из сосуда.
При этом жидкость поступает в альвеолу, конечную часть аппарата дыхания, тем самым происходит заполнение.
Подобная патология может образоваться при диагностированной ишемической болезни сердечной мышцы либо прочих сердечнососудистых заболеваний.
Мембранозный отек образуется вследствие влияния токсинов, которые способны нарушить стенки альвеол и выйти во внесосудистое пространство дыхательного органа. Следует учитывать, что на рентген-снимках может быть обнаружено не только затемнение, но и белое пятно.
Читать далее…
Источник:
Что показывает рентген легких? Грамотная расшифровка рентгена легких
Одним из лучевых методов диагностики внутренних органов является просвечивание рентгеновскими лучами, или рентгенография. Полученное изображение наносится на жесткий диск, специальную пленку или бумагу.
Цель назначения обследования
Рентгеноскопия легких – это самый распространенный и информативный метод исследования. Этот способ диагностики позволяет выявить наличие заболеваний органов дыхания:
С целью профилактики легочных болезней у граждан, занятых на вредных производствах (химическая промышленность, строительство (каменщики), горнодобывающие работы (шахтеры) и др.), раз в год (при необходимости чаще) проводится рентген легких. Что показываютрезультаты исследований в таких случаях?
Ответ рентгеноскопии позволяет своевременно предупредить или распознать заболевание и назначить необходимую лекарственную или иную терапию.
Влияние облучения на организм человека
Просвечивание лучами рассматривается как радиационное воздействие, и некоторые люди отказываются от проведения данной процедуры. Однако это напрасно, в медицине используются лучи низкой энергии, доза облучения ничтожно мала, и тело человека подвергается их воздействию малый период.
Еще несколько лет назад учеными было доказано, что даже неоднократные проведения рентгенографии (при медицинских показаниях) не способны навредить здоровью. В некоторых случаях эту процедуру назначают и беременным женщинам. Серьезные болезни, которые с помощью рентгена можно диагностировать, имеют более тяжкие последствия, чем минимальная доза радиации.
В качестве альтернативы обычному традиционному рентгену в настоящее время доступен и цифровой с еще меньшей дозой облучения.

Рассмотрим симптомы, при которых лечащий доктор назначает рентген легких. Что покажетснимок, от этого будет зависеть тактика дальнейшего ведения пациента.
- Периодические боли в области грудины.
- Одышка.
- Высокая температура тела, которая держится длительное время.
- Кровь в мокроте.
- Длительный изматывающий кашель.
- Большое количество отделяемой мокроты.
- Сухой кашель.
С целью профилактики флюорография, или рентген, показана всем гражданам с периодичностью не реже одного раза в два года или чаще в соответствии с рекомендациями медицинского работника.
Подготовка и проведение процедуры
Направление на рентген легких выписано, как же подготовиться к нему? Предварительной подготовки не требуется. Перед проведением процедуры надо снять украшения (цепочки, бусы, колье), чтобы они не исказили результат.
Непосредственно перед процедурой медицинский работник попросит вас надеть специальную запахивающуюся на талии юбку для защиты половых органов от облучения. Далее доктор выбирает необходимую проекцию (переднюю, заднюю или иногда снимок делается в положении лежа на боку).
В зависимости от того, на каком оборудовании выполнялся рентген легких, результаты будут мгновенными (цифровой метод) или через некоторое время после обработки и проявки пленки.
Сделали рентген легких? Что показывает расшифровка, рассмотрим ниже:
- Дефекты диафрагмы.
- Наличие в плевральной полости жидкости. Исключают опухоль или плеврит.
- Полость в легком свидетельствует о некрозе легочной ткани. Диагностируют туберкулез, рак или абсцесс.
- Очаговые затемнения мелкие являются признаками пневмонии, туберкулеза. Крупные – опухоль бронхов, метастазы в легкие.
- Мелкие очаги, встречающиеся очень часто, – саркоидоз или туберкулез.
- Большая тень круглой формы – туберкулез в стадии прогрессирования или злокачественное новообразование.
За исключением вышеперечисленного, обнаруживают и другие изменения легочной ткани и легких, которые помогают поставить верный диагноз и назначить лечение.
К сожалению, бывают случаи и ложного результата, или в случаях проведения исследования на ранних стадиях болезни ее можно не увидеть.
Для точного заключения в дополнение к полученным результатам кроме рентгена используют и другие методы диагностики, а также проводят необходимые лабораторные исследования.
Затемнения на рентгеновском снимке
Рентген показал пятна на легких? Причинами их появления могут быть: неправильное положение пациента во время процедуры, некачественное оборудование, наличие патологии. Точную расшифровку данных рентгенографии может сделать только врач.
Образования в виде белых пятен говорят о наличии туберкулеза, бронхита, пневмонии, патологии в плевре, профессиональных заболеваний. В случае если человек переболел бронхитом, воспалением легких, то на рентгеновском снимке можно обнаружить пятна. Их расценивают как остаточные проявления болезни, и они через некоторое время исчезнут.
Если светлые пятна обнаруживаются в верхних отделах легкого, то диагностируют туберкулез, основным признаком на первой стадии которого является светлая дорожка, идущая от места, где имеется воспалительный процесс, к корневой системе. При своевременном и правильном лечении воспаление уменьшается и ткани подвергаются рубцеванию. На снимке вместо белого появляется темное пятно.
Если снимокрентгена легких показывает, чтовидны черные пятна, это говорит об обострении и наличии хронического воспаления легких.
После курса медикаментозного лечения и полного выздоровления пятна исчезают. Темные образования могут быть причиной и злокачественных патологий.
Выявление темных пятен у практически здорового человека свидетельствует о многолетнем курении, у детей – об инородном теле.
Показывает ли рентген воспаление легких?
Рентгеновское исследование при пневмонии это и метод выявления болезни, и контроль за ее течением. Для того чтобы распознать пневмонию, надо знать, как выглядят пятна на снимках при такой патологии. Они могут отличаться размерами и расположением:
- глобальные пятнистые образования на всей поверхности легких;
- субтотальные – полностью все поля (исключение – верхние доли);
- сегментарные – пятна в границах сегмента;
- мелкие пятнистые образования до 3 мм с ограниченными полями.
В результате развития воспалительного процесса в легких человека образуются нечеткие с размытыми контурами пятна и рентген показывает воспаление легких. Проявление пятнистых образований зависит от стадии заболевания. Более выражены пятна в запущенных случаях.
Рентгеновский снимок при бронхите
Симптомы болезни сходны с пневмонией. Для подтверждения диагноза при затяжном течении болезни назначают определенные виды обследований, в том числе и рентгенографию, которая позволит оценить состояние органов дыхательной системы и уточнить диагноз. Симптомы у пациента, при которых показана флюорография (рентген легких показывает бронхит в этом случае):
- изменение в крови, по данным лабораторных исследований;
- сильная постоянная одышка;
- длительное повышение температуры тела;
- предположение воспаления в легких;
- признаки обструкции.
По результатам проведенного исследования на рентгеновских снимках обращают внимание на следующие моменты в легких:
- нечеткие контуры;
- наличие деформации корня;
- изменения в рисунке;
- наличие пластинчатых очагов;
- участки скопления жидкости.
Мнения специалистов об информативности рентгеновских снимков при выявлении заболевания бронхит разделились. Однако этот вид исследования широко применяется в практической медицине.
Рентгенография при туберкулезе
При подозрении на это тяжелое заболевание данный вид обследования легких позволит исключить или подтвердить патологию. Преимуществами рентгеноскопии при туберкулезе легких является возможность:
- провести различную диагностику болезни;
- исключить другие патологии органов дыхания, например пневмонию, рак, абсцесс и другие;
- определить характер повреждения тканей легкого;
- увидеть распространенность поражения;
- посмотреть расположение патологических очагов.
Поэтому на вопрос,покажет ли рентген туберкулез легких, можно ответить утвердительно. Однако это не исключает проведение дополнительных манипуляций для точного подтверждения диагноза. На рентгеновских снимках выявляют разные виды туберкулеза:
- внутригрудных лимфатических узлов;
- диссеминированный;
- очаговый;
- инфильтрационный;
- казеозная пневмония;
- фиброзно-кавернозный;
- цирротический.
Показывает ли рентген рак легких?
Это заболевание является одним из грозных недугов человека в последние десятилетия. Рентген грудной клетки считается диагностическим методом выявления этой патологии на самых ранних этапах ее развития. Признаками или симптомами болезни могут быть:
- вялость, постоянная сонливость и слабость;
- работоспособность на нуле;
- регулярные лихорадки при видимом благополучии;
- одышка;
- дыхание со свистом;
- затяжной кашель, который не поддается терапии;
- выделение мокроты с кровью;
- отсутствие аппетита;
- при приступах кашля наличие болевого синдрома.
Для исключения заболевания доктор назначает обследование. Рентген покажет рак легкихобязательно, так как этот метод высокоинформативный. В зависимости от вида опухоли и ее расположения будет разная картина на рентгенологических снимках. Для постановки точного диагноза лечащий доктор проведет дополнительные обследования и, оценив общее состояние пациента, назначит адекватную терапию.
Рентгенография легких у детей
Если вашему ребенку назначили рентген, то следует ознакомиться со следующими моментами:
- имеется ли альтернативный вид обследования;
- есть ли жизненная необходимость проведения данной процедуры.
В случае сомнений получите консультацию у другого специалиста.

Подрастающему поколению в исключительных случаях назначают рентгенографию. В основном, когда это единственная манипуляция, при помощи которой существует возможность исключить или подтвердить диагноз. В кабинет вместе с ребенком заходит и один из родителей.
Для того чтобы снизить негативное воздействие облучения, все участки тела малыша и его представителя защищают свинцовыми экранами. Процедура длится несколько минут, и ваш малыш не устанет.
Если рентген легких показывает, что очаг патологии присутствует, врач назначит лечение и ребенок пойдет быстро на поправку.
Рентгеноскопия – это результативный метод диагностики различных заболеваний и в опытных руках оказывает неоценимую помощь медицинскому сообществу.
Источник:



