Глиоз головного мозга — что это, причины, симптомы, лечение
Глиоз головного мозга — это не самостоятельное заболевание. Это результат расстройства центральной нервной системы. В состав ЦНС входит три вида клеток: нейроны (те самые нервные клетки, которые не восстанавливаются), эпендимы и нейроглии.
Основные нервные клетки — это нейроны. Именно они выполняют самые важные функции. По разным причинам нейроны могут повреждаться и погибать. Их место не может быть незаполненным. Заменяются погибшие нейроны вспомогательными клетками нейроглиями (глии).
Процесс разрастания нейроглий и называется глиоз.
Поскольку вставшие на место погибших нейронов глии не могут полностью выполнять функции нервных клеток и появилось известное изречение — “нервные клетки не восстанавливаются”.
Разрастание нейроглий по причине гибели нервных клеток (глиоз) немедленно проявляется ухудшением нервных процессов. Человек, например, ощущает ухудшение памяти и удивляется. Или вдруг скорость реакции на внешнее воздействие ухудшилась.
Справочно. Умершие нервные клетки действительно не восстанавливаются. То есть глиоз головного мозга не лечится в классическом понимании. Однако не стоит паниковать — есть возможность приостановить процесс замены нейронов глиями. Или предупредить его развитие.
Глиоз головного мозга — что это
Чтобы понимать, что такое глиозные изменения мозга, нужно представлять, как устроена центральная нервная система (ЦНС).
Нейроны — это основные клетки нервной системы, своего рода «миникомпьютеры», получающие, перерабатывающие поступающую из окружающей среды информацию, отдающие команды всем внутренним органам. От слаженной работы нейронов зависит функционирование организма в целом.
Справочно. Но кроме нейронов, в ЦНС есть глиальные клетки. Это вспомогательные структуры нервной ткани. Они выполняют опорную, трофическую (питают, регулируют обменные процесы нейронов) функции, участвуют в развитии нервных клеток.
Клетки глии находятся рядом с нейроцитами и могут замещать их после гибели: если нейроны отмирают, глиальные клетки разрастаются, заполняют их место.
Подобно шрамам на коже, глиозные изменения головного мозга могут образно считаться рубцами на «теле» нервной ткани.
Такое клеточное замещение, особенно если формируются множественные очаги, приводит к нарушению работы и изменениям со стороны ЦНС.
Причины глиоза
Единичные очаги глиоза могут быть следствием естественного старения организма, физиологического отмирания нервных клеток, умеренным замещением их глиальными.
Результатом такого состояния становятся снижение памяти, медлительность, снижение способности к концентрации, бессонница. Изменения развиваются постепенно и не являются заболеванием.
Если же в процессе диагностики обнаруживаются множественные очаги глиоза — это свидетельствует о развившейся или перенесённой болезни головного мозга.
Причины формирования очагов глиоза в белом веществе головного мозга:
- ЧМТ. Сотрясение, ушиб, диффузное аксональное повреждение, внутричерепная гематома – состояния, провоцирующие активацию и рост клеток глии из-за массивной гибели нейроцитов в результате черепно-мозговой травмы.
- Рассеянный склероз. Тяжёлое, инвалидизирующее заболевание, возникающее нередко в молодом возрасте. Считается, что в основе болезни лежит аутоиммунное нарушение, приводящее к разрушению миелина, формированию множественных патологических изменений в ЦНС.
- Нейроинфекции. Инфекционные агенты (вирусы, бактерии), попадая в организм, могут преодолевать гематоэнцефалический барьер, проникать в ЦНС. Выделяющиеся токсины и продукты распада приводят к гибели нервных клеток. Последствия перенесённого менингита, энцефалита могут проявляться глиозными изменениями на МРТ.
- Гипоксия. Острый или хронический дефицит кислорода, особенно во внутриутробном периоде, приводит к замедлению созревания, развития клеток мозга, избыточному разрастанию астроцитов, олигодендроцитов. Кистозно-глиозные изменения головного мозга могут наблюдаться даже у новорожденных, чьи мамы злоупотребляли алкоголем или курили при беременности, провоцируя гипоксию.
- Патология кровеносных сосудов. Длительно протекающая артериальная гипертензия приводит к склеротическому поражению, повышению внутричерепного давления, негативно сказывается на обменных процессах: формируются супратенториальные множественные очаги глиоза сосудистого генеза.
- Энцефалопатия. Хроническое прогрессирующее расстройство мозговых функций, вызванное недостаточностью церебрального кровообращения может провоцировать появление разрастании очагов глии, замещающих нейроны.
- Эпилепсия. Судороги, другие симптомы при эпилепсии вызваны дегенеративными поражениями тканей ЦНС. Инструментальная диагностика выявляет очаговые изменения белого вещества, глиальные супратенториальные участки, изменение интенсивности сигнала от височных, лобных долей.
- Опухоли. Органические образования в головном мозге оказывают разрушающее действие на нейроны, способствуют возникновению внутричерепной гипертензии, провоцируют усиленное деление клеток глиии.
Симптомы глиоза головного мозга
Единичные патологические очаги глиальных разрастаний могут являться случайной находкой при проведении диагностического обследования.

Если неврологическая проблема имеет место, проявления глиоза могут быть следующие:
- Головная боль. Болевые ощущения могут быть различной степени выраженности, продолжительности: от умеренной постоянной, до нестерпимой, мигренозной.
- Головокружение.
- Ухудшение памяти, внимания.
- Лабильность настроения.
- Шаткость походки, неустойчивость при ходьбе.
- Забывчивость.
- Шум в голове.
- Неустойчивость артериального давления (характерно для глиоза сосудистого генеза).
- Судорожные приступы.
- Бессонница.
- Паретические расстройства, парестезии (ощущение «ползания мурашек»).
Клинические проявления могут быть разнообразны и зависят от основного заболевания, спровоцировавшего формирование глиоза.
Симптомы и жалобы могут вовсе отсутствовать, если очаги малочисленны и обнаружены случайно после давно перенесённой ЧМТ без последствий.
Справочно. Прогноз для жизни при глиозе головного мозга зависит от заболевания, которое обусловило его появление.
Единичные очаги, сформированные вследствие отдалённых последствий перенесённой ЧМТ, либо начавшиеся старческие изменения соответственно возрасту пациента не таят в себе опасности для жизни и имеют благоприятный прогноз.
Чего нельзя сказать о патологических изменениях мозговой ткани при рассеянном склерозе или злокачественных опухолях с глиальными разрастаниями.
Для оценки тяжести заболевания и формирования представлений о прогнозе его течения пациенту следует пройти все необходимые обследования для выявления первопричины и стадии вызвавшей глиоз болезни.
Диагностика глиоза
Диагностировать клеточные изменения мозговой ткани исключительно по жалобам, симптомам невозможно. Инструментальные методы диагностики — помощники в установлении неврологических проблем, в том числе глиальных патологий.
Обязательными методами исследования являются:
- МРТ.
- КТ.
- Рентгенография черепа.
- Осмотр глазного дна.
- Электроэнцефалограмма.
Справочно. Лучше всего визуализируются очаги глиоза на МРТ либо КТ-аппаратах.
Эти современные приборы позволяют с высокой точностью выявить сосудистые изменения, опухолевые процессы, патологические участки в белом веществе лобных долей, очаги кровоизлияний, ишемическое поражение.
Другие методы диагностики являются дополнительными и необходимы для установления причины глиоза. Ведь данное состояние не является самостоятельным заболеванием, а лишь его симптомом.
Если глиоз выявлен после проведения КТ или МРТ, имеются жалобы со стороны нервной системы, пациенту следует посетить невролога или нейрохирурга для продолжения углубленного обследования и последующего лечения.
Лечение глиоза головного мозга
Справочно. Изолированно глиоз головного мозга лечению не подлежит, поскольку является лишь симптомом. Лечить следует вызвавшее его заболевание. Поэтому основные способы лечения, медикаментозная терапия будут зависеть от основной патологии.
Если в основе клеточных изменений ЧМТ с развившимся отёком, основными средствами устранения последствий травмы и прогрессирования замещения нейронов глиальными клетками будет нормализация кровообращения, дыхания, назначение диуретиков, сосудистых препаратов, симптоматическая терапия (назначение анальгетиков, седативных средств).
При дементных процессах эффективными средствами борьбы с атрофией нейронов являются прием Церебролизина, Кавинтона, Пентоксифиллина, Танакана, других средств, улучшающих мозговое кровообращение и восстанавливающих когнитивные функции.
Уменьшить выраженность глиальных изменений при рассеянном склерозе позволяет прием глюкокортикостероидов в индивидуальной дозе, цитостатиков, бета-интерферона, Клоназепама, Амантадина.
Своевременное лечение нейроинфекций, прием противовирусных или антибактериальных средств, в зависимости от природы вызвавшего воспаление возбудителя, позволяет снизить риск постинфекционной трансформации нервной ткани.

При выявлении опухолей головного мозга зачастую нейрохирургами рекомендуется хирургическое лечение, направленное на удаление образования целиком или его части.
Радикальное удаление уменьшает сдавление тканей и препятствует разрушению нейронов, замедляет формирование глиальных рубцов. При неоперабельности или наличии множественных метастазов процесс пытаются приостановить, воздействуя на ткань лучевой терапией или противоопухолевыми средствами.
Внимание. Чего не следует делать пациенту, так это при наличии неврологических проблем и клинической симптоматики заниматься самолечением по совету друзей или интернету, пробовать терапию народными средствами. При наличии глиоза это может быть не только не эффективно, а и опасно!
Если у пациента появились любые жалобы со стороны нервной системы, следует обязательно обратиться к врачу-неврологу или нейрохирургу.
Как предотвратить глиоз мозга
Специфической профилактики, способной уберечь нейроны от разрушения и ткань мозга от глиальных разрастаний, не существует.
Но врачи могут дать советы, которые позволят поддержать сосуды мозга и сохранить активность нейронов как можно дольше.
Пациентам необходимо соблюдать следующие правила:
- Вести здоровый образ жизни.
- Сохранять физическую активность. Не допускать появления лишнего веса.
- «Тренировать» мозг: учить языки, стихи, решать кроссворды.
- Следить за уровнем холестерина, глюкозы.
- Контролировать артериальное давление, при наличии гипертонии регулярно принимать гипотензивные препараты.
Справочно. Важно устранить факторы риска, которые могут спровоцировать появление неврологических проблем. Ограничить прием «вредной» пищи, не принимать алкоголь и не курить. Контролировать течение хронических заболеваний (АГ, аритмии, сахарного диабета).
Заключение
Многие заболевания имеют схожие органические проявления в виде глиоза головного мозга. Патология, называемая глиоз головного мозга, выявляемая посредством МРТ, требует обязательного уточнения причины, ее вызвавшей.
Глиоз может быть одним из проявлений серьёзных неврологических болезней, требующих наблюдения врача и своевременного лечения.
Источник:
Глиоз головного мозга: симптомы, лечение и прогноз на выздоровление
Глиоз головного мозга — это вторичная патология. Такое нарушение диагностируется, когда глии заменяют поврежденные и отмершие функциональные нервные клетки.
Увеличением численности клеток такого типа нейроны, формирующие нейронную сетку, могут восстановить потерянные связи между оставшимися функциональными клетками и нормализовать работу. Разрастание глиальных клеток позволяет постепенно восстановить потерянные неврологические функции.
Что такое глиоз мозга?
В норме от 10 до 40% общего объема головного мозга человека занимают глии. Это вспомогательные клетки, которые выполняют ряд функций, в том числе:
- трофическую;
- секреторную;
- опорную и т.д.
В норме распространение дополнительных клеток в мозге имеет диффузный характер, то есть они присутствуют почти во всех тканях, формирующих этот орган. Наиболее велика их численность в субкортикальных отделах обоих полушарий.
Если была повреждена функциональная ткань мозга, то есть нейроны, глии быстро активизируются и начинают стремительно делиться. В местах наибольшего нарушения структуры формируются очаги глиоза, где плотность вспомогательных клеток крайне велика. Это компенсаторный механизм, позволяющий восстановить процессы метаболизма даже при гибели большого объема функциональной ткани.
Таким образом, дополнительные клетки формируют своеобразный рубец, который позволяет оставшимся функциональным тканям восстановить работу. Подобные дефекты встречаются часто. Они могут формироваться и при микроангиопатии, сопровождающейся мелкими кровоизлияниями в мозг, и при дистрофическом поражении нейронов.
Разновидности глиоза
В зависимости от места расположения областей замещения глиозной тканью функциональных клеток головного мозга выделяются следующие формы патологии:
- анизоморфная;
- волокнистая;
- диффузная;
- краевая;
- очаговая;
- периваскулярная;
- перивентрикулярная.
Каждая разновидность имеет свои особенности.
При волокнистой форме преобладают нейроглии, отличающиеся волокнистой структурой.
Анизоморфная форма патологии сопровождается хаотичным разрастанием опорных тканей мозга. При этом преобладающей остается клеточная структура нейроглий.
Диффузная разновидность глиоза отличается отсутствием выраженных очагов замещения. Подобное нарушение часто возникает на фоне ишемического процесса.
Очаговый вариант глиоза является крайне распространенным. Он характеризуется наличием участков замещения, имеющих четкие границы. Глиоз белого вещества головного мозга наиболее часто протекает в этой форме. Нередко нарушение возникает на фоне воспалительного процесса.
Краевой вариант патологии сопровождается появлением небольших очагов на поверхности головного мозга.
Периваскулярный глиоз характеризуется разрастанием нейроглий вокруг кровеносных сосудов, пораженных склерозом. Часто подобная патология возникает на фоне системных васкулитов.
Перивентрикулярный глиоз характеризуется разрастанием вспомогательной ткани в области желудочков мозга.
Симптомы и последствия
Глиоз не спровоцирует появления симптомов. Признаки патологии возникают из-за поражения функциональной ткани. Развитие глиоза выявляется при диагностике первичного заболевания.
В зависимости от формы, локализации и распространенности процесса у пациентов на фоне этой патологии могут возникать следующие жалобы:
- головные боли;
- перепады АД;
- приступы головокружения;
- слабость;
- ухудшение зрения и слуха;
- повышенная утомляемость;
- ухудшение координации движений.
Нередко наблюдается ухудшение памяти. Постепенно развивается склероз, сопровождающийся неспособностью запоминать информацию, потерей ранее приобретенных навыков и знаний. Возможно снижение интеллектуальных способностей.
Причины возникновения глиоза
Существует множество причин гибели функциональных нервных клеток и развития глиоза. Чаще подобные дефекты возникают у пожилых людей, но возможно появление этой проблемы и в молодом возрасте.
К наиболее распространенным причинам развития патологии относятся:
- черепно-мозговые травмы;
- ишемическое поражение мозга;
- нейроинфекции;
- интоксикация;
- родовые травмы;
- гипоксемия;
- эпилепсия;
- хроническое нарушение мозгового кровообращения;
- наследственная предрасположенность и т.д.
Чем опасен глиоз для здоровья человека?
Образование шрамов из глиозной ткани не сказывается на работе центральной нервной системы. При этом нарастающие патологические изменения в структуре головного мозга могут стать причиной неврологических нарушений.
Выраженные очаговые повреждения в мозге возникают на фоне злокачественного течения заболеваний легких, в том числе туберкулеза, и при нарушении мозгового кровообращения, вызванном поражением сосудов разного размера. Эти состояния ведут к формированию воспалительного процесса, отмиранию некоторых участков и их замещению глиозными волокнами.
Люди, страдающие глиозом, нередко испытывают постоянную головную боль. Присутствуют и другие нарушения. Проявления патологии во многом зависят от локализации дефекта.
Методы лечения глиоза
Можно ли улучшить состояние структур головного мозга, способен определить только врач-невролог. Восстановить функциональную ткань невозможно. При этом медикаментозная терапия, правильное питание и физиопроцедуры позволяют улучшить нервную проводимость и снизить интенсивность клинических проявлений.
Чтобы выявить очаги замещения функциональных клеток опорными тканями левой и правой лобной доли мозга, назначаются проведение магнитно-резонансной томографии, рентген и ЭЭГ. Для постановки диагноза может выполняться УЗИ глазного дна. Часто проводится ангиография для уточнения состояния сосудистого русла.
Традиционная медицина против глиоза
Устранить имеющиеся очаги разрастания глиозной ткани невозможно, поэтому терапия должна быть направлена на недопущение прогрессирования патологии.
Применяются препараты, улучшающие метаболизм в тканях мозга, в том числе:
- кавинтон;
- винпоцетин;
- циннаризин;
- актовегин.
Назначаются лекарственные средства для улучшения мозгового кровообращения. В схему терапии могут вводиться ноотропы, гиполипидемические препараты и анальгетики.
Народные средства от глиоза
Любые народные средства при глиозе нужно применять только по рекомендации врача. Пользу при этой патологии могут принести травы, улучшающие метаболизм и стабилизирующие кровообращение. Сборы лекарственных растений подбираются фитотерапевтом индивидуально.
Профилактика
Для снижения риска развития глиоза нужно правильно питаться, включая в рацион продукты с высоким содержанием витаминов, минералов и других полезных веществ. Следует заниматься спортом и часто бывать на свежем воздухе. На ночной сон нужно отводить не менее 8 часов. По возможности необходимо избегать стрессов и физического перенапряжения.
Источник:
Глиоз белого вещества головного мозга: единичные и множественные очаги, признаки и прогноз жизни
Заболевания головного мозга наиболее опасны, так как способны навредить всем органам и системам организма, отключить многие функции нервной системы и сделать из человека инвалида. Глиоз белого вещества головного мозга – болезнь очень серьезная и требующая немедленного лечения.
Глиоз белого вещества головного мозга – что это?
В головном мозге человека по каким-либо причинам может начаться гибель нервных клеток. Спровоцировать это способны некоторые болезни и состояния.
Начинается заболевание с единичного участка такого поражения, постепенно эта площадь разрастается, на месте погибших нейронов образуются глии – рубцевидные ткани, которые защищают орган от различных инфекций и травм. Большие скопления глий образуют глиоз.
Задача глиозных клеток состоит в защите головного мозга. Образовываясь на месте поражения тканей органа, глии защищают разрушенный участок, обволакивая его. Если гибель нейронов происходит в большом количестве, глии покрывают объемные участки головного мозга, то нервная система перестает нормально функционировать.

Степень поражения головного мозга определяется количеством очагов поражения, в зависимости от этого, врачи диагностируют вид заболевания.
Глиоз бывает нескольких видов, обусловленных местом локализации и степенью разрастания глиозных клеток.
Виды
- Анизоморфный глиоз диагностируется в том случае, если волокна клеток расположены хаотично.
- Волокнистый вид данного заболевания определяется по более выраженному формированию глиальных клеток, чем клеточное составляющее.
- Диффузный тип болезни означает, что зона поражения головного мозга очень большая.
- Изоморфный вид этого заболевания встречается у пациентов в том случае, когда глиальные волокна размещены относительно правильно.
- Маргинальный глиоз обусловлен разрастанием глиальных клеток только в подоболочечных областях головного мозга.
- Периваскулярный тип такой болезни возникает при атеросклерозе сосудов головного мозга. Глиальные волокна образовываются, окружая пораженные сосуды.
- Субэпендимальный вид означает, что зона роста глий располагается под эпиндимой.
Заболеваний, вызывающих глиоз белого вещества головного мозга, огромное количество. Даже самые банальные недуги, встречающиеся довольно часто, могут выступить провокатором этой болезни.
Здесь вы можете подробно прочитать о глиозных изменениях головного мозга.
Очаги глиоза
Очаги глиоза могут быть различны по количеству и площади. Такое разрастание глиозной ткани происходит на фоне разрушения собственных нейронов, из этого следует, что чем больше количество этих нервных клеток разрушено, тем обширнее будет очаг глиоза.
Болезни, провоцирующие глиоз:
- Эпилепсия.
- Гипертония, продолжающаяся длительный период.
- Рассеянный склероз.
- Гипогликемия.
- Ишемический инсульт.
- Низкое содержание кислорода в крови.
- Слабое кровообращение.
- Энцефалиты.
- Анемия.
- Травмы и отеки головного мозга.
Глиоз может возникнуть и по другим причинам, не касающимся конкретных заболеваний.
Причины:
- Наследственный фактор.
- Травмы при родах.
- Пожилой возраст.
- Чрезмерное употребление жирной еды.
Прогноз лечения и жизни пациента полностью зависит от распространенности процесса глиоза, чем запущеннее процесс, тем сложнее терапия и продолжительнее восстановление больного.
Единичные
Единичные очаги глиоза могут возникнуть у многих. Обычно это означает, что пациент страдает гипертонией. При постоянно повышенном давлении, спустя некоторое время, как правило, возникает гипертензивная энцефалопатия, что приводит к единичным очагам глиоза.
Важно вовремя обратиться в медицинское учреждение, чтобы остановить процесс гибели нейронов, иначе площадь поражения и количество очагов могут сильно увеличиться. Проблема состоит в том, что повернуть этот процесс вспять уже невозможно, нервные клетки погибают уже безвозвратно, и, главное, не допустить их дальнейшего разрушения.
Глиоз зачастую вызывает болезни нервной системы, которые полностью излечить нельзя, но современная медицина способна остановить прогрессирование таких заболеваний, а значит и развитие самого глиоза.
Множественные
Множественные очаги глиоза головного мозга обычно встречаются при диффузном типе этой болезни. Заболевание такой формы характеризуется большими очагами глиозных разрастаний, что делает функционирование нервной системы практически невозможным.
Если при единичных очагах поражений, симптоматика данной болезни выражена слабо или может вовсе отсутствовать, то при множественных очагах симптомы довольно серьезные и тяжелые.
Следует отметить, что глиоз головного мозга может появиться на фоне старения организма, когда нейроны в мозгу отмирают. Такая ситуация вполне естественна с помощью медикаментозных средств, возможно частично восстановить функции нервной системы пожилого человека.
Признаки глиоза
Довольно часто, пациент узнает о наличии единичного очага глиоза в своем головном мозге, случайно, на плановом осмотре. При этом человека ничего не беспокоит. Такая ситуация требует особого внимания.

Пациента необходимо тщательно обследовать и выявить причину, по которой образовался очаг, то есть болезнь, спровоцировавшую разрастание глиозных волокон. В случае с множественными очагами глий, дело обстоит иначе, без неприятных симптомов не обойтись.
Симптомы:
- Постоянные головные боли.
- Скачки артериального давления.
- Головокружения.
- Нарушение интеллектуальной деятельности.
- Потеря или нарушение координации.
- Изменение речевых функций.
- Парезы и параличи.
- Нарушение слуха и зрения.
- Изменения в психической сфере.
- Деменции.
Чем больше площадь поражения мозга, тем более выражены симптомы этого заболевания.
Опасен ли глиоз
Глиоз белого вещества головного мозга, очень опасная болезнь, требующая особого внимания. Даже если очаг поражения мозга глиозными клетками небольшой и единичный, нельзя оставлять его без внимания, так как каждый отдел этого органа человека, отвечает за определенные функции.
Любые нарушения в таком отделе, негативно сказываются на работе всей системы жизнедеятельности.
В случае множественных очагов поражения, работа нервной системы нарушается полностью, страдает функционирование всех отделов мозга, приводя человека к полной беспомощности.
К чему приводит болезнь:
- Сильные скачки артериального давления.
- Энцефалиты головного мозга.
- Рассеянный склероз.
- Нарушение кровообращения во всех органах.
- Полное повреждение ЦНС.
При первых симптомах данного заболевания , необходимо обратиться к врачу и исследовать головной мозг для выявления таких нарушений. Существуют методики, позволяющие снизить прогрессию глиоза.
Для новорожденных детей, такой диагноз, как глиоз – это практически приговор.
В результате генетических мутаций, у плода, в возрасте 5 месяцев, начинают происходить патологические процессы в головном мозге, что приводит к тяжелому глиозу.
Малыши, страдающие этим недугом, редко доживают до возраста 4 лет, хотя в первые месяцы их жизни все кажется благополучно, и болезнь не дает о себе знать.
Диагностика и МРТ
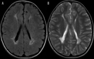
Диагностика глиоза головного мозга основывается на данных КТ и МРТ:
- Магнитно-резонансная томография, является приоритетным методом для выявления таких отклонений. Помощью этого метода, специалист увидит очаги глиоза в мозге, выяснит степень распространенности и определит точную причину возникновения болезни.
- Компьютерная томография тоже может быть использована в качестве способа диагностики глиоза белого вещества головного мозга, но данный метод не дает такой точной клинической картины, как МРТ, а кроме того КТ способно облучать рентгеновскими лучами, что сказывается на общем здоровье не лучшим образом.
Иногда, для развернутой картины болезни необходимо провести дополнительное обследование, в виде анализов и других манипуляций. Всегда, после диагностирования глиоза, возникает необходимость в лечении заболевания, спровоцировавшего гибель нейронов.
Результаты МРТ
Сегодня МРТ считается самым популярным методом исследований многих заболеваний:
- В случае глиоза, обычно в заключении МРТ может быть написано – «картина очага глиоза в левой (правой) лобной доли».
- Если очаги множественные, то данная методика выявит все места их локализации и масштабы гибели нейронов.
- Также магнитно-резонансный томограф определит причину возникновения таких очагов.
- Если виновником отмирания нервных клеток стало заболевание сосудистого характера, то в заключении МРТ будет написано – «картина единичного (множественных) очагов глиоза в белом веществе головного мозга – вероятно, сосудистого генеза». Подробнее о сосудистом генезе головного мозга и что это такое читайте в нашей аналогичной статье.
- Кроме того, специалист может выявить дополнительные отклонения в головном мозге, в виде гидроцефалии, гематом и других болезней.
Лечение
В данное время не существует эффективных методов лечения глиоза головного мозга. Эта болезнь не является самостоятельной, а возникает как следствие развития другого недуга. Необходимо точно диагностировать причину гибели нервных клеток, и лечить именно ее.
В случае если причина не установлена или проигнорирована, глиозные волокна будут разрастаться настолько же, насколько будет поражаться головной мозг. Такое состояние считается тяжелым, и изменить ситуацию не сможет ничего.
При возникновении этой болезни у людей пожилого возраста, необходимо принимать меры профилактики, чтобы затормозить этот патологический процесс.
Немаловажно своевременно снижать артериальное давление, чтобы очаги глиоза не разрастались.
Препараты:
- Лекарственные средства для улучшения деятельности головного мозга.
- Препараты, улучшающие кровообращение в головном мозге.
- Медикаменты для улучшения функционирования мозга.
- Витамины, в частности, группы В.
Излечив причину возникновения глиоза, отпадает необходимость терапии, направленной на торможение гибели нейронов.
Последствия и прогноз жизни
Глиоз головного мозга нельзя назвать незначительной патологией. Такая ситуация требует немедленной медицинской помощи.
Прогноз для таких больных будет полностью зависеть от степени распространенности глиозного процесса и заболеваний, вызвавших его.
Зачастую достаточно пройти курс терапии у невролога, и болезнь отступит. Иногда лечение может занять годы, и улучшений не наступит.
К сожалению, новорожденные дети, страдают от этого недуга гораздо сильнее взрослых. Гибель нервных клеток у младенцев быстро прогрессирует, приводя к смерти ребенка.
На плановых обследованиях беременных женщин, с помощью УЗИ диагностики можно выявить глиозные изменения в головном мозге плода.
В этом случае ставится вопрос о прерывании беременности.
Глиоз головного мозга: причины, симптомы, лечение и прогноз
Болезни головного мозга всегда носят довольно серьёзный характер. Безусловно, любые неполадки в организме требуют внимания, но в случае с головным мозгом даже самая небольшая проблема должна быть внимательно рассмотрена.
Одним из заболеваний мозга является глиоз. Этот термин обозначает процесс замещения отмерших нервных клеток специальными глиальными клетками. Они защищают нервную систему, помогают нейронам в передаче импульсов и в образовании новых связей.
По количеству они в 10 раз превышают остальные клетки нервной системы, но именно скопление глии в определённом участке органа называется глиозом головного мозга.
Причины возникновения
Глиоз белого вещества головного мозга мешает полноценной работе нервной системы, но бороться с этим заболеванием необходимо не напрямую, а исследуя его причину.
В основном, катализаторами появления глиальных скоплений являются инфекционные либо вызванные иными причинами заболевания нервной системы, как:
- наследственные заболевания, связанные с гибелью нейронов;
- рассеянный склероз – разрушение волокон нервной ткани в головном и спинном мозге;
- туберозный склероз – генетическое заболевание, при котором развиваются доброкачественные опухоли;
- эпилепсия;
- травмы при рождении (у младенцев);
- травмы головы и спины;
- повышенное артериальное давление и энцефалопатия;
- отёк мозга;
- хроническое или острое нарушение мозгового кровообращения (ХНМК/ОНМК);
- гипоксия – острый недостаток кислорода в тканях;
- нейроинфекции, такие как лейкоэнцефалит, энцефаломиелит и т.д., вызванные вирусами или бактериями;
- низкое количество сахара в крови;
- большое употребление животных жиров;
- ранее перенесённые операции;
Часто глиальные скопления наблюдаются у спортсменов, перенёсших сотрясения головы, а также у тех, кто подвержен влиянию вредных привычек как принятие алкоголя и наркотиков, которые способствуют разрушению нейронов. Также эти изменения могут появиться у больных, принимающих лекарства на основе наркотиков.
Симптомы
Глиоз – это такое заболевание, способное маскироваться под ряд проблем, связанных с сердечно-сосудистой и нервной системами. Самыми распространенными его симптомами являются:
- постоянные головные боли, мигрень, головокружение;
- резкие перепады артериального давления;
- появление проблем со зрением или слухом;
- расстройство памяти и внимания;
- появление судорог, паралич.
Данные проблемы могут обнаружиться и при ряде других, совершенно отличных от глиоза болезней, поэтому для точной диагностики необходимо обратиться к специалистам. Иногда глиоз головного мозга обнаруживается уже при МРТ мозга, при том, что пациент не ощущает каких-либо негативных изменений.
Типы
Распространение глиозных клеток происходит по-разному. В зависимости от расположения в организме их очаги разделяются на:
- анизоморфные – ненормированный порядок распространения глии;
- изоморфный – правильное построение клеток глии;
- маргинальный – рост глиальных клеток в подоболочечных пространствах головного мозга;
- диффузный – ускоренное распространение глиоза как по головному, так и по спинному мозгу;
- периваскулярный или сосудистый – глиоз, располагающийся вдоль сосудов. Чаще всего он проявляется после атеросклероза.
- волокнистые – отростки глиозных клеток превышают размеры их тел;
- краевые – глиозные элементы находятся на поверхности мозга;
Очаги глиоза по своим размерам могут распределяться на единичные, немногочисленные (до 3 очагов) и множественные. Соответственно, единичные участки развития глиальных клеток могут возникать в старости, когда организм уже не может произвести правильную регенерацию тканей, например, распространение глиоза в лобных долях.
Диагностика
Выявление данного заболевания невозможно без использования специального электронного оборудования. Диагностика может проводиться с помощью одного или нескольких методов:
- магнитно-резонансная томография (МРТ) – получение изображения внутренних органов, тканей с помощью воздействия на объект исследования электромагнитными волнами. Этот метод применяется для нахождения отклонений в работе органов, опухолей и неправильной регенерации тканей;
- компьютерная томография (КТ) – получение изображения внутренних органов с помощью рентгеновского излучения и последующей обработки данных на компьютере. Она помогает установить изменения, связанные с сосудами, например, затруднённое кровообращение, тромбоз и т.д.;
- электроэнцефалография (ЭЭГ) – измерение активности головного мозга с помощью электродов и компьютерной обработки данных. Она применима в случае необходимости регистрации проблем нервной системы, таких как судороги или эпилепсия.
Все эти методы применимы в условиях специализированных клиник, оборудованных современными медицинскими аппаратами.
Хирургия
Оперативное вмешательство применяется при появлении больших одиночных очагов глиоза и в случае их негативного влияния на орган или систему, которые невозможно игнорировать, например, при приступах судорог. Но чаще всего к операции прибегают, если невозможно контролировать самочувствие пациент с помощью медикаментов.
Дополнительные и альтернативные методы лечения в домашних условиях
Кроме традиционных методов лечения пациент, страдающий данным заболеванием, должен питаться в соответствии со специальной диетой и проводить профилактические мероприятия для поддержания нормальной работы организма и предотвращение развития патологий на фоне глиоза.
Питание и добавки
При глиозе головного мозга необходимо нормировать своё ежедневное питание. Самым главным условием здесь является исключение из рациона жирных продуктов и блюд, т.к. жировые соединения нарушают работу нейронов и приводят их к гибели.
Спиртовые и травяные настои
Как уже говорилось ранее, пациент при данном заболевании может иметь проблемы с мозговым кровообращением.
Кроме лекарственных препаратов, нормирующих этот процесс, можно принимать и настойки из разных трав, которые будут источником полезных веществ для работы сосудов. К примеру, можно купить готовые настойки трав в аптеке, смешать их и принимать как дополнительное средство, если это возможно по медицинским показаниям.
Для данного спиртового настоя необходимы:
- настойки корней валерианы, пустырника, пиона уклоняющегося, боярышника — в ёмкостях по 100 мл;
- эвкалипт – 50 мл;
- мята – 25 мл;
- корвалол – 30 мл;
- гвоздика цельная – 10 штук.
Перед применением данная смесь должна настояться около двух недель в прохладном месте, избегая попадания солнечных лучей. Принимать 3 раза в день по 30 капель, разведённых в стакане воды, за полчаса до еды. Общее время курса – от 1 до 3 месяцев.
Чтобы предотвратить развитие атеросклероза на фоне ослабленных сосудов и глиоза, больным необходимо принимать травяной настой. В него могут входить такие компоненты, как:
- бессмертник, душица,мята, семя льна – по одной части;
- боярышник и листья березы – по две части;
Для приготовления настойки необходимо смешать сбор и залить в расчёте одна столовая ложка на 200 мл воды. После необходимо вскипятить отвар и настоять его примерно 2 часа. Перед принятием нужно процедить и распределить траву на 3 приёма в день. Курс лечения продолжается 1 месяц.
Травы и сборы (лечение народными средствами)
Также для улучшения кровообращение можно принимать отдельно или в качестве сбора такие травы, как:
- корень одуванчика помогает понизить уровень холестерина и способствует укреплению сосудов. Его отвар стоит принимать по 50 г перед едой.
- семена укропа восстанавливают циркуляцию крови и помогают при ненормированном давлении.
- зверобой обладает способностью снимать спазмы сосудов и восстанавливать ткани.
- мелисса питает кору мозга и стенки сосудов, помогает успокаивать нервы и восстанавливать нервные клетки;
- чистотел помогает восстановиться при постинсультном состоянии. Его отвар необходимо пить 2 раза в день.
- донник насыщен множеством витаминов, которые питают сердечную мышцу и его главные сосуды, чистят лимфы. Принимать его нужно с осторожностью и в небольших дозах; траву необходимо настаивать в пропорции чайная ложка на стакан кипятка в течении двух часов. После пить 3 раза в сутки до еды, по одной трети стакана, около 30 дней.
- лофант анисовый помогает при различных заболеваниях, чистит сосуды и протоки, особенно он полезен тем, кто перенёс инфаркт, либо имеет проблемы с перепадами артериального давления. Его сбор, от 50 до 200 г, необходимо залить 0,5 л коньяка или водки и оставить в тёмном месте на 20 дней, при этом не забывая каждый день встряхивать. Принимать настой следует около 30 дней, 2 раза в день, за 30 минут до еды по чайной ложке на 30 мл воды.
- софора японская не только восстанавливает баланс сосудов, но и вывод свободные радикалы из организма. Ее настой также можно делать на водке или коньяке. Нужно взять 100 г плодов, залить 0,5 л алкоголя и оставить на 3 недели, после процеживания принимать 3 раза в сутки примерно по 35 капель через час после принятия пищи.
- омела белая помогает при судорогах, параличе и склерозе. Одну столовую ложку травы необходимо залить стаканом охлаждённой кипяченой воды и оставить на ночь. Пить по 1/3 стакана 3 раза в день перед едой, около месяца.
- диоскорея кавказская помогает при проблемах с сосудами и сердечным ритмом, зрением и головной болью. Корень этой травы необходимо измельчить и залить кипятком в расчёте чайная ложка – стакан кипятка, а затем продержать на паровой бане около 20 минут. Принимать 3 раза в день по столовой ложке, после еды, в течение около 4 месяцев с перерывами на неделю.
При противопоказании спиртных напитков настои трав можно делать и с помощью воды, заливая отвары на ночь 1 стаканом кипятка и принимая по 50 мл 3 раза в день за полчаса до еды.
Упражнения
Интенсивная физическая нагрузка при глиозе нежелательна, потому что это может спровоцировать дополнительные осложнения или приступы хронических болезней.

Любая лечебная гимнастика должна быть согласованна с лечащим врачом, которым может установить её необходимость. Но для поддержания хорошего самочувствия и правильного протекания процессов в организме рекомендуется совершать ежедневные прогулки по 30-60 минут в отдалённых местах от дорог и автотрасс.
Также для нормализации мышечного тонуса и обмена веществ в тканях рекомендуется проходить курс массажа.
Прогноз (сколько живут люди с заболеванием)
Глиоз головного мозга может быть вызван заболеваниями, связанными с сердечно-сосудистой и нервной системами, но так же и провоцировать появление болезней данной направленности. Независимо от возраста, и взрослые, и дети имеют одинаковые условия борьбы с этой проблемой.
Но как правило, такие люди не живут более 2-3 лет.
Безусловно, только врач может установить, насколько опасными для жизни являются глиозные новообразования, поэтому в первую очередь следует как можно раньше обратиться в специализированную клинику и выявить причину их появления, что поможет понять дальнейшие действия и разработать необходимую терапию.
записи по теме
Источник:



