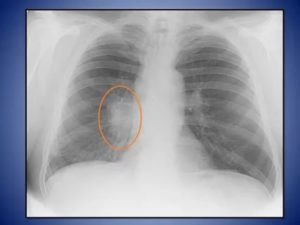
Корни легких уплотнены: что это означает?
Уплотнение корней — один из наиболее часто встречающихся рентгенологических синдромов, который врач-рентгенолог определяет на обзорной рентгенографии грудной полости. Что это означает: «уплотнены корни легких»? Какие заболевания и патологические состояния скрываются под этой фразой?
Корень легкого: что это такое?
Корень легкого — это комплекс структур, расположенных в воротах легкого. К ним относятся легочная артерия, вена, главный бронх, а также нервы, лимфатические сосуды, плевра, жировая клетчатка. Все эти структуры расположены в строго определенном порядке, однако часть их с левой стороны не видна на рентгенограмме, скрываясь за тенью сердца.
На обзорной рентгенографии и флюорографии под таким понятием, как корень легкого, подразумевают только крупные сосуды (артерию, вену) и бронх.
Основные характеристики корней легких
Чтобы определить на рентгене такой симптом, как уплотнение корней легких, в первую очередь нужно знать особенности этих образований в норме.
Корень как правого, так и левого легкого состоит из трех частей: головки, тела и хвоста. В состав хвоста входят конечные мелкие разветвления сосудов.
В рентгенологии также определяют ширину данных структур. Определяется она обычно по ширине правого корня и включает в себя артерии и промежуточный бронх. В норме его ширина составляет 1,5-2 см.
Стоит также отметить, что артерии в корнях легкого расположены более вертикально, а вены — горизонтально. Иногда их структура может быть неоднородной из-за того, что на некоторых участках видны просветления воздуха в бронхах.
Отличия расположения корней легких
Размещение корней правого и левого легких несколько отличается. Так, корень правого легкого соответствует в норме уровню II ребра и межреберья и имеет форму дуги, искривленной книзу. Начинаясь расширением наверху, корень сужается внизу. Левый корень, в свою очередь, соответствует уровню I ребра и межреберья, то есть находится выше правого.
Отличия структуры корней легких
Необходимо понимать, что левый корень плохо виден на рентгенограмме, так как прикрыт сердцем, поэтому иногда тяжело увидеть, когда корень левого легкого уплотнен.
Также следует помнить, что корень левого легкого в норме неоднородной структуры, так как в его состав входят практически только сосуды, разветвляясь на мелкие ветви и переплетаясь с левым бронхом. В то время как правый корень имеет более однородное строение.
Основные причины уплотнения корня
Существует множество разнообразных болезней и синдромов, которые приводят к тому, что корни легкого уплотнены. К основным причинам относятся:
- Хронические обструктивные заболевания легких (хронический обструктивный бронхит).
- Увеличение лимфатических узлов средостения (паратрахеальных, парабронхиальных) с развитием в них петрификатов (отложений солей кальция).
- Расширение и выпячивание стенки сосуда или аневризма сосуда.
- Изменение структуры бронха под действием опухолевого процесса.
- Отек легких (проникновение жидкости в паренхиму легкого).
- Нарастание соединительной ткани с развитием фиброза, что имеет место быть после затяжных воспалительных легочных заболеваний, травм легкого, оперативных вмешательств на органах грудной полости.
- Туберкулезное поражение бронхов (туберкулезный бронхоаденит), туберкулез внутригрудных лимфатических узлов, первичный туберкулезный комплекс. Последние две формы относятся к первичному туберкулезу, наиболее распространенному у детей дошкольного возраста.
- Профессиональные заболевания (асбестоз, металлокониоз).
Данная группа заболеваний является одной из наиболее частых причин, по которой корни легких уплотнены и расширены. Как правило, этот процесс двухсторонний, — затрагивает как левый, так и правый корни. Наиболее часто заболевание развивается у курильщиков с большим стажем и характеризуется чередованием периодов обострения с периодами ремиссии.
Основными клиническими проявлениями являются кашель, особенно сильно беспокоящий больного по утрам — с вязкой, иногда гнойной мокротой. При продолжительном течении заболевания развивается одышка, которая сначала отмечается при физических нагрузках, а после и в спокойствии.
Помимо проведения обзорной рентгенографии грудной полости, характеризующейся тем, что в легких корни уплотнены и тяжисты, выполняется также посев мокроты для определения возбудителя заболевания (вирусного или бактериального).
Этиотропная терапия, то есть лечение причины, зависит от возбудителя, вызвавшего обострение. Если причиной является бактерия, то эффективным будет прием антибиотиков, если вирус — прием противовирусных средств.
Симптоматическая терапия включает в себя прием муколитиков, препаратов, разжижающих мокроту, и отхаркивающих средств для более легкого ее отхождения. Также принимают препараты, расширяющие бронхи — агонисты адренергических рецепторов, кортикостероиды.
Онкологические заболевания
Опасной, но, к счастью, нечасто встречающейся причиной того, что корни легких уплотнены и расширены, является онкологический процесс в бронхах и органах средостения. Такой процесс, как правило, односторонний, поэтому изменение корня легкого наблюдается только с одной стороны.
Онкология подразумевает под собой продолжительный хронический процесс с постепенным ухудшением состояния больного.
Незначительный кашель, тяжелое дыхание сменяются болью за грудиной в месте проекции опухоли на грудную стенку (при сдавливании нервов), кровохарканьем, сильной одышкой.
Помимо нарушения функции легочной системы, страдает весь организм. Пациент худеет, истощается, появляются быстрая утомляемость и слабость.
После проведения обзорной рентгенографии грудной полости в двух проекциях врач-рентгенолог ставит заключение: «Корни легких уплотнены и малоструктурны».
Далее лечащий врач выдает направление на проведение биопсии подозрительного на рентгене образования, что позволит определить не только вид опухоли (доброкачественная или злокачественная), но и гистологическую ее структуру (из каких тканей она образовалась).
Терапия зависит как от стадии опухолевого процесса, так и от его вида. Основные терапевтические методы: хирургический, лучевой и химиотерапия. Одно лишь хирургическое вмешательство применяют при начальных стадиях развития опухоли, на более поздних стадиях его комбинируют с другими методами терапии.
Профессиональные заболевания
Люди таких профессий, как шахтеры, сварщики металла, строители, то есть те, кто постоянно взаимодействует с вредными веществами окружающей среды, наиболее подвержены развитию профессиональных заболеваний.
Это приводит к тому, что на рентгенограмме корни в легких фиброзно уплотнены и тяжисты. Такая картина развивается из-за накопления в бронхах и альвеолах вредных частиц, которые оседают на дыхательных путях.
Как правило, поражение корня не изолировано, а сочетается с наличием очаговых теней и неоднородностью паренхимы легкого.
Симптомы данных заболеваний не специфичны; при постановке диагноза в первую очередь обращают внимание на профессиональный анамнез (место работы, стаж). А основным методом лечения является изменение квалификации и перемена места работы.
Поражение корней при туберкулезе
Ситуация, когда корни легких уплотнены, обычно возникает у детей при первичном туберкулезе легких. Это такие формы, как первичный туберкулезный комплекс и туберкулез внутригрудных лимфатических узлов. Однако данные формы могут возникнуть и у людей преклонного возраста при реинфекции старого очага.
Туберкулез — хроническое заболевание, поэтому симптомы развиваются длительно и постепенно. Характерными являются сухой кашель или с небольшим количеством мокроты, возможно, с примесью крови, боль за грудиной, усталость, вялость, похудение.
После выполнения рентгенографии в двух проекциях проводится посев и микроскопия мокроты на выявление микобактерии туберкулеза, томограмма легких для более точной локализации очага инфекции. После высеивания туберкулезной палочки определяется ее чувствительность к противотуберкулезным препаратам, что необходимо для выбора наиболее эффективного лечения.

Медикаментозная терапия основана на принципах непрерывности и долгосрочности (минимум 6 месяцев). Также необходимым является применение комбинации минимум из 4 противотуберкулезных препаратов. Только при соблюдении этих принципов лечение будет эффективным.
Корни легких тяжисты и уплотнены: что это означает?
Как было отмечено выше, наиболее часто данный рентгенологический синдром встречается при хроническом бронхите курильщика и профессиональных заболеваниях легкого. Однако данный симптом может определяться и при острых воспалительных заболеваниях дыхательных путей, онкологических заболеваниях.
Данные тяжи представляют собой волокна соединительной ткани, которые тянутся от корня к периферии. Тяжистость обычно совмещается с расширением и уплотнением корня.
Не обладая высокой специфичностью, данный синдром позволяет врачу заподозрить определенную легочную патологию и направить пациента на дальнейшие обследования.
Корни легких малоструктурны и уплотнены: что это значит?
Нарушение структуры корня легкого, то есть невозможность отличить сосуд от бронха, появление затемнения на корне, обычно встречается при первичном туберкулезе, онкологических процессах.
На рентгенограмме при обширном туберкулезе или центральном раке легкого вместо корня может визуализироваться тень различных контуров, представляющая собой очаг (до 10 мм диаметром) или инфильтрат (более 10 мм).
Данный симптом может также сочетаться с уплотнением, что обычно бывает при отложении солей кальция или обызвествлении (петрификации). Обызвествление является признаком хронического, долго протекающего процесса.
Таким образом, всего один рентгенологический симптом (в легких корни фиброзно уплотнены и тяжисты) может помочь заподозрить множество заболеваний: от обычного бронхита до рака легкого.
Конечно, не стоит забывать, что рентгенография должна дополняться другими методами обследования: компьютерной томограммой, биопсией, посевом мокроты, бронхоскопией и так далее.
Дополнительные методы обследования выполняются по назначению врача в зависимости от пути его диагностического поиска. Необходимо помнить, что только комплексное обследование поможет поставить правильный диагноз.
Источник:
Корни легких расширены — что это, в чем опасность, что делать
Корни легких расширены – фраза, которую часто можно наблюдать на заключении рентгенолога. Она свидетельствует о ряде патологических заболеваний, которые развиваются не только в легких, но и в сердечно-сосудистой системе, а иногда – и в более отдаленных от бронхолегочной системы органах.
Термином “корни легких” называют область ворот или же входа/выхода легких. Корни – это по аналогии с деревом, которым на рентгенограмме выглядит бронхиальная структура (бронхиальное дерево). Но с анатомической точки зрения к корням легких отнесли главный бронх, а также легочную артерию и легочные вены (верхнюю и нижнюю).
В структуру корней включены также лимфатические сосуды и узлы вместе с нервами легочного сплетения.
Справочно. Следует отметить, что не все элементы корней (внелегочные) видны на рентгенограмме. Отсюда несоответствие понятия анатомического “корня легкого” рентгенологическому.
Легкое – это паренхиматозный орган, который состоит из альвеолярной ткани, воздухоносных путей, а также кровеносных и лимфатических сосудов. Все эти структуры отвечают за адекватное обеспечение функции внешнего дыхания.
Корень легкого – это анатомическое образование, включающее главный бронх, легочную артерию и вену, а также долевые сосуды и бронхи, которые от них отходят. Эти структуры окружены клетчаткой, в которой залегают лимфатические узлы и лимфатические сосуды. Изменение любого из этих анатомических образований следует рассматривать как патологический процесс в корне легкого.
Справочно. Корни легких расширены – это морфологический признак, который обнаруживается чаще всего на рентгенограмме и флюорограмме, реже – на компьютерной или магнитно-резонансной томографии.
Он не является конкретным диагнозом, не имеет определенных симптомов и способов лечения. Корни легких могут быть расширены по многим причинам, которые после установления данного факта следует уточнять.
Как правило, обнаружение изменений происходит следующим образом: пациент имеет жалобы, характерные для патологии дыхательной системы или просто проходит профилактический осмотр. Ему назначают рентген или флюорографию.
После проявления пленки врач пишет заключение: корни легких расширены или изменены. Далее пациент идет к терапевту, который проводит дополнительное обследование в поисках причины выявленных изменений.
Справочно. Таким образом, увеличенные корни легких – это симптом, который является проявлением патологии сердечно-сосудистой или бронхолегочной системы.
Рентгенография показывает тени органов грудной клетки и их расположение друг относительно друга. Более плотные органы создают большую тень, воздушные – меньшую.
Поскольку рентгеновская пленка является негативом действительного снимка, затемнением называют светлые структуры, дающие большую тень, просветлением – темные воздушные структуры.
Корень легкого выглядит как затемнение на фоне легочной ткани. Его можно обнаружить на границе легких и средостения на уровне I-IV ребра.
На рентгене большую часть тени корня создают артерии, поскольку они имеют большую плотность по сравнению с другими элементами. Бронхи содержат воздух, потому их различают по полоскам просветления на фоне сосудистого рисунка.
Структура корней легких
В заключении врачи-рентгенологи обычно пишут: “Корни легких структурны” или “Корни легких не структурны”.
Справочно. Эта фраза имеет важное диагностическое значение, поскольку каждый элемент в структуре корней имеет свою функцию и изменяется под действием определенных причин.
Каждый корень легкого имеет головку, тело и хвост. “Головкой” называют ту его часть, которая идет к верхней доле. В нее входит верхнедолевая легочная артерия, одноименная вена и бронх. “Хвостом” называют соответствующие нижнедолевые образования. “Телом” называется место соединения головки с хвостом и их переход в основание корня.
Все элементы этой структуры должны плавно переходить один в другой. Если они не различимы между собой, можно говорить о патологии корней легких.
Кроме того, в корне хорошо отличимы кровеносные сосуды от бронхиального дерева. Артерии видны на рентгене как полоски затемнения, которые делятся дихотомически. В норме они становятся уже от корня к периферии.
Справочно. Бронхи видны как полоски просветления. Они практически не видны на фоне легочной ткани, но главные и долевые бронхи выделяются среди артерий и вен корня. Вены на рентгене отличить от артерий нельзя.
Структурный корень должен иметь головку, тело и хвост, а также четко отличимые главные и долевые бронхи и сосуды. Если эти компоненты не видны или их невозможно различить между собой, говорят о бесструктурном корне.
Общая характеристика корней
Корни легких – это система, включающая ряд элементов. По состоянию элементов можно сделать выводы о состоянии всей системы. К значимым характеристикам относятся следующие.
Расширение
В норме ширина корня легкого соответствует ширине его артериального компонента и в области тела корня равняется 15 мм. Как правило, корни легкого расширяются с обеих сторон, но правый измерить легче, чем левый. Из-за того, что структуры левого легкого на рентгеновском снимке частично прикрыты тенью сердца, левосторонняя патология обнаруживается позднее.
Часто корни легких расширены вследствие увеличения их сосудистого компонента. Это наблюдается при левожелудочковой сердечной недостаточности, когда повышается давление в легочных венах из-за застоя в них крови. В легочной артерии давление может повышаться при заболеваниях легких, например, эмфиземе или ателектазе.
К расширению корня также приводят заболевания бронхиального дерева.
Справочно. Прежде всего, воздухоносный компонент корня расширяется при перибронхитах. При этом инфильтраты вокруг бронхов делают их тень шире, чем она должна быть в норме.

Опасным признаком является полициклически расширенный корень. Как правило, такая патология наблюдается с одной стороны. Полицикличность корню придают лимфатические узлы, которые располагаются по ходу крупных сосудов и бронхов.
Увеличение лимфатических узлов наблюдается чаще всего во время активного туберкулеза, но бывают и более редкие причины: саркоидоз и метастазы злокачественной опухоли.
Внимание. При этом, стоит помнить, что у молодых людей более вероятно наличие туберкулеза, а у пожилых – опухолевого процесса.
Как правило, уплотнение корней легких наблюдается совместно с их расширением и может быть обусловлено теми же причинами.
Справочно. Уплотнением называют более выраженную, чем в норме, интенсивность тени. В редких случаях корни легких уплотнены при нормальном диаметре их тени.
Изолированное уплотнение свидетельствует о хроническом процессе. Чаще всего эта патология встречается при хронических воспалениях бронхиального дерева, когда часть их стенки замещается соединительной тканью. При этом расширения тени не будет, но она станет более интенсивной.
Тяжистость
Тяжистость корней легких на рентгенограмме выглядит как усиление одного из компонентов корня, его выделение на фоне других в виде тяжа. Как правило, этот признак говорит о хронической патологии.
Справочно. Встречается при длительно существующих заболеваниях сосудистого русла, когда стенки артерий или вен значительно уплотняются.
Тяжистость бронхиального дерева свидетельствует о хронических заболеваниях легких, чаще всего, обструктивном бронхите и бронхиальной астме.
Как правило, тяжистость корней легких является двусторонним признаком и развивается с обеих сторон одновременно.
Фиброз
Фиброзом называют разрастание соединительной ткани в пределах паренхиматозных или полых органов. Фиброз корня наблюдается в том случае, если волокна соединительной ткани стягивают структуры корня, деформируют их.
Справочно. Как правило, фиброз развивается в легочной паренхиме, а затем распространяется на корни.
Причинами этой патологии могут стать длительно существующие пневмонии, ателектазы, хронические заболевания бронхов, хронические формы туберкулеза.
Усиленный легочный рисунок
Усиленный легочный рисунок – это различимость сосудистой сети легких на расстоянии более 15 мм от корня легких. У здорового человека, сосуды легких делятся дихотомически, уменьшаясь в диаметре от корня к периферии.
На расстоянии 10-15 мм они становятся настолько тонкими, что на рентгенограмме уже не видны. Различить их можно в том случае, если возникает артериальный или венозный застой в сосудах малого круга. Например, к такой патологии может привести сердечная недостаточность.
Выраженное воспалительное заболевание бронхиального дерева также приводит к усилению легочного рисунка. Но в этом случае не из-за сосудистого, а из-за бронхиального компонента.
Отличить на рентгенограмме артерии от бронхов можно по тому признаку, что последние отходят друг от друга под прямым углом. При делении артерий угол образуется острый.
Справочно. Причиной усиления бронхиального компонента легочного рисунка могут стать острые и хронические бронхиты.
Изменения корней легких свидетельствуют о том, что патология дыхательной или сердечно-сосудистой системы достигла стадии декомпенсации. Это касается хронических воспалительных заболеваний легких и хронической сердечной недостаточности.
Кроме того, изменения корней в сочетании с характерными очагами в легочной паренхиме позволяют диагностировать туберкулез.
Иногда полициклически измененные корни являются первым проявлением метастазов онкологических заболеваний.
Внимание. Опухоли часто очень быстро начинают метастазировать в легкие и лимфатические узлы корня, потому такая находка становится первым этапом диагностики рака.

Обнаружение измененных корней легких должно насторожить лечащего врача и пациента. Важно вовремя найти причину этих изменений.
Кроме того, следствием изменения корней легких может стать дыхательная недостаточность. Дело в том, что корни отображают самые крупные сосуды и бронхи легких. Если патологический процесс затрагивает эти структуры, механизм дыхания значительно изменяется.
Профилактика и лечение
Профилактика изменений корней легких заключается в ранней диагностике тех заболеваний, которые могут привести к такому исходу.
Внимание. В этом плане неоценимую помощь врачам оказывает ежегодное флюорографическое обследование населения. На флюорограмме видны все изменения легких, а иногда – и признаки сердечной патологии.
Лечить расширенные корни легких невозможно. Это симптом, который требует лечения той патологии, которая привела к его развитию. При успешной терапии основного заболевания, корни легких приобретают нормальную форму.
Источник:
Расшифровка флюорографии: основные показатели и результаты
Флюорографическое исследование лёгких и сердца выполняется для диагностики туберкулёза, а также с целью определения других патологий органов дыхания. Результаты флюорографии помогают оценить состояние бронхов, лёгких. Увидеть воспалительные процессы, спайки, отклонения со стороны диафрагмы. Окончательный диагноз ставит врач-рентгенолог после изучения снимка.
Исследование рентгеновскими лучами: положительные и отрицательные стороны процедуры
Рентген здоровых легких
Рентгеновское исследование основано на способности проникновения рентгеновских лучей сквозь тело человека.
В результате прохождения лучей через ткани различной плотности они будут по-разному поглощаться, оставляя на плёнке силуэты оттенков светлого и тёмного цвета. Твёрдые структуры имеют светлый оттенок, а мягкие — тёмный.
Такое свойство процедуры позволило широко применять её в диагностике заболеваний лёгких, а малодозовый рентген (флюорография) — стали делать массово для выявления в первую очередь туберкулёза лёгких.
Минусы исследования состоят в возможном риске, которому подвергаются пациенты. Обследование крайне нежелательно беременным женщинам.
Изменения в правом кардиодиафрагмальном углу. Киста перикарда.
Несмотря на отрицательные стороны рентгеновского облучения, процедура имеет и плюсы. Например, дешевизна проведения флюорографии позволила сделать исследование массовым и предупредить развитие вспышек туберкулёза.
В частности, в таких уязвимых социальных группах, как дети, люди пожилого возраста. К тому же рентгеновское исследование неинвазивное — оно визуализирует состояние внутренних органов без вскрытия грудной клетки.
Диагностическая ценность рентгеновского облучения также велика — при помощи лучей видны тяжелейшие патологические процессы, абсцессы, пневмония, опухолевые образования. Получить результат можно за кратчайший срок и своевременно начать лечение болезни.
Флюорограф цифровой сканирующий (самый безопасный и современный метод диагностики)
Флюорографическое исследование не требует особой подготовки от пациента. Однако, перед проведением необходимо учесть некоторые особенности. На результат не влияют:
- медикаменты, которые принимает пациент;
- курение перед проведением исследования;
- продукты, приводящие к газообразованию в желудке;
- физические нагрузки.
Перед тем как делать снимок, необходимо снять предметы, способные отобразиться на плёнке и привести к сложностям в диагностике. Врачи предупреждают:
- женщинам требуется снимать бюстгальтер, или приспускать на талию, чтобы не попали в обзор застёжки;
- пациентам требуется снять нательные украшения — цепочки, кулоны, крестики;
- пациентам с длинными волосами рекомендовано подколоть их наверх, чтобы они не падали на плечи и не создавали помех на снимке.
При необходимости проведения флюорографии нужно учесть, что она не влияет на работу кардиостимуляторов. Поэтому пациентам не стоит переживать или отказываться от обследования в том случае, если у них установлен такой прибор.

Рентгенография контролируется медицинским работником, который инструктирует пациента, помогает ему найти нужно положение. Выделяют такие ключевые моменты:
- после подготовки человека просят встать в кабину перед ПЗС-матрицей и максимально плотно прижаться грудной клеткой, стоять нужно немного сгорбившись, чтобы плечи прижимались к поверхности экрана;
- в момент проведения процедуры двери кабинки закрываются, а пациенту даётся команда вдохнуть и не дышать — дыхание задерживается на несколько секунд, после чего даётся команда дышать и двери открываются. Момент фотографирования проводится при задержке дыхания;
- после открытия дверей можно покидать кабинку и одеваться.
Коды флюорографии
Если требуется снимать в нескольких проекциях, то пациенту будут даны соответствующие рекомендации от медицинского персонала. На этом проведение исследования заканчивается.
Расшифровка флюорографии передаётся врачу, который дал направление либо подклеивается в карточку пациента.
Если исследование профилактическое, пациенту выдаётся корешок с указанием личных данных, времени проведения исследования, а также результата флюорографии.
Расшифровка
Изменения аорты. Аневризма аорты
Расшифровка процедуры требует специальных знаний, поэтому проводят её врачи-рентгенологи. На снимке лёгких бывают патологические затемнения, свидетельствующие о таких отклонениях:
- наличие свободной жидкости в полости лёгких;
- отсутствие чёткого контура органов дыхания;
- очаговые пятна в различных местах;
- сфокусированные пятна;
- долевые изображения на плёнке;
- сегментные отображения.
При обнаружении пятен на рентгеновском снимке врачи назначают дополнительное исследование — оно будет давать подробную картину, поскольку органы грудной клетки фотографируются в нескольких проекциях.
Синдром уплотнения. Инфильтрат. Рак.
Если при расшифровке флюорографии лёгких обнаружены очаговые пятна в пределах до одного сантиметра в диаметре, то это может указывать на отклонения сосудистого характера, или начальную стадию онкологического процесса. И также это может свидетельствовать о патологии органов дыхания. Для конкретизации пациенту дополнительно будет проведена компьютерная томография, а также взята мокрота на анализ.
Помимо этих предположений, очаговые тени свидетельствуют и о возможном инфаркте миокарда — именно его путают с начальной стадией развития туберкулёза.
Ещё один вариант отклонения — сегментарные пятна. Они имеют чёткие границы и треугольную форму. Контур пятен ясный, без размытости. При одиночном обнаруженном сегменте врач подозревает травму лёгочной ткани. Но это может быть инородное тело или эндобронхиальная опухоль. При наличии множественных сегментарных пятен варианты возможных патологий широки. Это могут быть:
- онкологические патологии;
- туберкулёз лёгкого;
- воспаление лёгких в острой или хронической форме;
- наличие жидкости в плевральной полости;
- возможные метастазы.
Синдром уплотнения. Очаг низкой и средней плотности. Туберкулез.
При обнаружении долевого пятна врач подозревает бронхоэктазийную болезнь, гнойное повреждение лёгких и другие патологии. А вот чётко сфокусированные пятна являются признаком:
- пневмонии на различной стадии развития патологии;
- наличия жидкости в плевральной полости;
- бронхиальной астмы;
- гнойного повреждения ткани в результате воспалительного процесса;
- глистной инвазии.
Пятно может быть результатом появления мозоли в костной ткани, если пациент ранее получил перелом кости.
При тенях неопределённого рода (нечётких, с «рваными» краями) врачи диагностируют одну из патологий:
- стафилококковое поражение лёгкого и развившееся на этом фоне воспаление;
- скопление жидкости в плевре;
- экссудативный плеврит;
- инфарктное состояние сердца.
Поскольку отклонения от нормы в снимке могут трактоваться неоднозначно, то диагноз на основании данных флюорографии не ставится. Для диагностики собирается комплекс признаков, делаются дополнительные анализы, в том числе и компьютерная томография. И только на основании целого комплекса симптомов возможно говорить о точном заболевании.
Осумкованный экссудативный плеврит
При расшифровке флюорографии учитывается не только наличие пятен и затемнений. Врачи внимательно относятся и к исследуемым структурам — корням лёгких, бронхам, диафрагме. Их состояние и отображение на снимке позволяет проиллюстрировать ту или иную патологию.
К примеру, отмечаются следующие характеристики:
Декстрапозиция органов средостения и желудка
Уплотнение корней лёгких — это характеристика не именно корня, а всех структур, которые визуализируются на данном участке (главный бронх, сосуды, лимфатические узлы). Если корни расширены и плотные по структуре, то это свидетельствует о хроническом патологическом процессе, а также о недавно перенесённом бронхите или пневмонии.
Если рентген показывает, что корни тяжистые, то это говорит о хроническом бронхите у пациента. Этот признак может быть и при онкологической патологии, при бронхоэктазийной болезни, при профессиональных вредностях.
Расширение сердца в поперечнике
Усиление лёгочного сосудистого рисунка — это результат активного кровоснабжения, которое возникает при остром воспалительном процессе в лёгких, при врождённых пороках сердца, раковом поражении органа. Этот признак диагностируется и при лёгких патологиях — бронхите, ОРВИ.
Если на снимке есть фиброз или обнаружена фиброзная ткань, то это говорит о ранее перенесённом заболевании, например, пневмония, инфекционный процесс, операция, туберкулёз.
Инородные тела в мягких тканях
Кальцинаты — это включения, по плотности напоминающие костную ткань, поэтому визуализируются светлым оттенком. Образуются в месте, где ранее был нагноительный процесс, глистная инвазия или инородное тело. Кальцинаты являются свидетельством контакта с больным туберкулёзом, но у самого пациента заболевание не перешло в активную фазу.
Спайки и плевроапикальные наслоения — признаки ранее перенесённого воспалительного процесса. Спайки не требуют вмешательства. Плевроапикальные наслоения являются утолщениями плевры, которые также говорят о воспалительном процессе, который был ранее. Напоминают о воспалении и синусы плевры. Если синус свободен или запаян, то это говорит о норме или патологии соответственно.
Воздух в расширенном пищеводе
Изменения со стороны диафрагмы — часто являются не столько признаком лёгочной патологии, сколько свидетельством патологии органов пищеварения.
Тень средостения считается расстоянием между лёгкими. Здесь расположены трахея, пищевод, железы, лимфоузлы и кровеносные сосуды. Тень средостения расширена и смещена при увеличении размера сердца и гипертонической болезни.
Лёгкие курильщика: как читать рентген
Лёгкие курильщика дают типичную картину, по которой видно о пристрастии к пагубной привычке. Особенность исследования таких пациентов в том, что изменения не всегда видны на снимке.
Тем не менее у курильщиков наблюдается утолщение тканей лёгких, изменения бронхиального дерева. Отмечается скопление жидкости, опухолевые точечные образования.
Если корни на флюорографии уплотнены, то это тоже является свидетельством того, что человек курит.
Противопоказания к рентгеновскому исследованию
Исследование нельзя проводить при плохом самочувствии пациента (высокая температура, слабость, озноб, лихорадящее состояние), при наличии одышки. Не делают флюорографию также тем пациентам, которые не способны удерживать тело в нужном положении. Не проводится исследование детям и беременным женщинам.
Флюорография лёгких — эффективная диагностика органов грудной клетки. При помощи исследования определяют не только наличие туберкулёза, но и такие патологии, как рак, эмфизема, аномалии строения сердца и лёгких. Проводится флюорография быстро, а особого вреда не приносит. Тем не менее врачи рекомендуют её исключительно по показаниям, чтобы лишний раз не облучать пациента.
Источник:
Результаты Флюорографии — что Означают Наиболее Распространенные
Согласно статистическим данным, каждый час в России от туберкулеза умирает один человек. Плановый осмотр, особенно если человек находится в группе риска, способен вовремя выявить заболевание, а значит, назначенная терапия может предотвратить осложнения.
Сегодня мы рассмотрим наиболее распространенные результаты флюорографии расшифровка которых позволит нам узнать, что они означают, на что следует обращать особенное внимание, получив на руки сведения о рентгене грудной клетки.
Медики пишут очень неразборчиво, некоторые люди считают, что это из-за того, чтобы пациент не понял, что у него за заболевание. Может быть и так, однако удивительно, что при этом они разбирают и понимают то, что написал их коллега.
Далее я напишу основные диагнозы рентгенологов, что они представляют из себя, насколько серьезно то или иное заключение.
Что такое флюорография
Флюорография — это исследование грудной клетки посредством облучения рентгеновскими лучами, с фиксированием результатов исследования на пленку.

Методика уже несколько устаревшая, но все еще являющаяся наиболее дешевым способом проверить свои легкие на предмет наличия каких-либо патологий.
Принцип получения результатов
Врач-рентгенолог визуально отличает на фотопленке изменения в плотности тканей легких. Те места, где плотность выше, чем у здоровых легких, свидетельствуют о каких-то проблемах в тканях.
Соединительная ткань, разрастаясь, замещает легочную ткань и на флюорографии выглядит более светлыми участками.
Многое в результатах зависит от квалификации и опыта врача. Был даже такой курьезный случай, когда молодой врач увидел затенение в левой половине легких, стал бить тревогу, а оказалось, что это сердце! Но, это, конечно, из разряда врачебных легенд.
Что можно увидеть на снимках
Различают спайки, фиброзы, наслоения, тени, склерозы, тяжистости, лучистости, рубцовые изменения.
Все эти аномалии, если они присутствуют, видны на снимках легких.
Если человек болен астмой, то на снимке будет видно, что стенки бронхов у него утолщены, это связано с тем, что на них приходится более высокая нагрузка.
Также на снимках можно идентифицировать кисту, абсцессы и каверны, кальцинаты, эмфиземы, рак.
Самые распространённые заключения после флюорографии
Обратите внимание, что если у вас действительно имеются какие-то серьезные проблемы в легких, то вам об этом сразу же скажут, когда вы придете забирать результаты.
Если не направили в туберкулезный диспансер, или на рентгенографию, чтобы уточнить заболевание, то значит все более-менее хорошо.
А теперь рассмотрим самые частые проблемы в легких.
Корни расширены, уплотнены
Корни легких — это главный бронх, бронхиальные артерии, легочная артерия и легочная вена. Это один из распространенных диагнозов, свидетельствует о каких-то хронических процессах, происходящих в легких. Хронический бронхит, отеки, пневмонии, воспаления легких.
Если у вас в заключении написано «корни уплотнены, расширены», то это говорит о том, что у вас идет хронический воспалительный процесс в легких. У курильщиков со стажем нередко встречается именно такой результат флюорографии.
Корни тяжисты
Это тоже часто встречающийся результат флюорографии. В его проявлении виноваты все те-же проблемы — хронические или острые процессы в легких.
Наиболее часто тяжистость легочного рисунка либо тяжистость корней легких выявляется у курильщиков, а также при бронхитах.
Также может свидетельствовать о профессиональном заболевании, связанном с нагрузками на легкие, например, при работе на вредных производствах.
Если в результатах написано только «тяжистость корней лёгких», не паникуйте, все в пределах допустимого, особенно если вас никуда при этом не направили.
Но сигнал важно учесть и следить за состоянием своих легких, не допуская обострения хронических процессов.
Усиление сосудистого или лёгочного рисунка
Лёгочный рисунок это тени на флюорограмме, «отбрасываемые» венами и артериями, пронизывающими легкие. Его еще называют сосудистый рисунок.
Если в результатах написан такой пункт, то это значит, что в каком-то отделе легких имеется область, в которую более интенсивно поступает кровь по артериям.
Фиксируется при каких-то острых воспалительных процессах, бронхитах, пневмониях, а также может свидетельствовать о пневмоните, и требует повторного снимка, чтобы убедиться, что нет онкологии.
Фиброзная ткань, фиброз
Это свидетельство какого-то перенесенного легочного заболевания. Это может быть свидетельством проведенной ранее операции, старой травме или перенесенной инфекцией.
Фиброзная ткань относится к соединительной ткани и служит для замещения вышедших из строя легочных клеток. Фиброз в легких свидетельствует о том, что все зарубцевалось и угрозы нет.
Кальцинаты
Это изолированные клетки, пораженные туберкулезом или пневмонией. Организм как-бы облепляет проблемное место похожей на костную ткань материей. На снимке видны округлые тени.
Если у человека много кальцинатов, то это говорит о том, что организм поборол инфекцию и заболевание не развилось.
Поэтому, если у вас обнаружили в легких кальцинаты, то опасений быть не должно.
Другое дело — кальциноз аорты
Кальциноз — это постепенное накопление на стенках аорты — нерастворимых солей кальция.

Как правило, кальцинированные бляшки видны на флюорографии, это, в принципе, не легочная проблема, но она диагностируется по флюшке.
Сами по себе эти бляшки опасны и по причине того, что могут оторваться и закупорить сосуды, и еще по причине того, что сами сосуды становятся ломкими, как бы хрустальными.
Советую очень серьезно отнестись к данному диагнозу. Любое повышение давления может стать критическим.
Необходима консультация специалиста и ограничение поступления кальция в организм. Если кальций откладывается на стенках сосудов, значит его поступает избыточное количество.
Кальций, откладывается в тканях и сосудах. Такое случается при переизбытке кальция в крови.
Очаговая тень — очаги
Очаговые тени, или очаги, это затемнения легочного поля, достаточно распространенный симптом. Размеры теней, как правило, до 1 см.
Если у вас или у вашего ребенка тени обнаруживают в средних, или нижних отделах легких, то это свидетельствует о наличии очаговой пневмонии.
Признаками активного воспаления могут быть неровные края, усиление лёгочного рисунка, слияние теней. Если у очаговых теней ровные и плотные контуры, то значит, что воспаление заканчивается.
Но консультация у терапевта необходима. Вероятно, воспаление легких, перешедшее в пневмонию, «засело» в глубине легочной ткани.
Если очаговые тени обнаруживаются в верхних отделах легких, то это говорит о возможном туберкулезе, и требует уточнения.
Плевроапикальные наслоения, спайки
После воспаления могут возникнуть спайки, это тоже соединительные структуры, которые изолируют область воспалений от здоровой ткани. Если на снимке увидели спайки, то повода для беспокойства нет.
Плевроапикальные наслоения — это уплотнения плевры легочных верхушек. Наслоения могут говорить о каком-то воспалительном процессе, произошедшем относительно недавно.
Чаще всего о туберкулезной инфекции. Однако, если врач не считает картину серьезной, то повода для волнений быть не должно.
Пневмосклероз
Это увеличение соединительной ткани в легких, может быть результатом заболеваний. Таких как бронхиты, пневмонии, туберкулезы, работа на пыльном производстве, курение.
Ткани теряют упругость, уплотняются. Может измениться структура бронхов, сама легочная ткань становится похожа на сухофрукт — уменьшается в размерах. Также относится к числу требующих наблюдения заболеваний.
Показано пребывание в сухом, разреженном горном воздухе. Курорты Кавказа очень рекомендованы. Например, в Теберде легочникам очень хорошо, я и сам бывал в этих краях. Если есть возможность, то езжайте поживите там и летом и зимой можно.
Синус запаян или свободен
Синусы плевры — это полости, образованные плевральными складками. У здорового человека синусы свободны. А вот если существуют какие-то проблемы, то там скапливается жидкость.
Если у вас «синус запаян», то это означает, что есть присутствие спаек, вероятно после плеврита. Повода для волнений нет.
Изменения со стороны диафрагмы
Аномалия диафрагмы встречается довольно часто. Другие похожие названия — высокое стояние купола, релаксация купола, уплощение купола диафрагмы.
Причинами могут быть: нарушения в работе ЖКТ, проблемы с печенью, плевриты, избыточный вес, онкология.
Этот признак интерпретируют, основываясь на других имеющихся данных, анализов и исследований.
Примеры результатов и их расшифровка
Мне регулярно присылают на почту zaharia@ro.ru снимки заключений рентгенологов. Я решил добавлять неразборчивый почерк врачей и давать расшифровку.
Может быть, посмотрев примеры, вы сможете идентифицировать свой диагноз. Буду признателен всем, кто пополняет базу.
Заключение специалиста рентгенолога — Пневмосклероз.Кальциноз аорты.
На на этом заключении написано: Легочный рисунок усилен, деформирован — в нижнем отделе с правой стороны. Корни тяжисты.
Выводы
Ежегодное прохождение флюорографии позволит выявить на ранних этапах проблемы с легкими, если они имеются.

На многих предприятиях работников планово направляют на обследования, а вот те, кто пренебрегает данной процедурой, рискуют неожиданно для себя узнать, что у них какие-то сложности, не дай Бог, конечно.
Источник:



