Аневризма селезеночной артерии: симптомы, диагностика и лечение
Аневризма селезеночной артерии – это патология кровеносных сосудов, проявляющаяся в виде деформации и утончения его стенок, образования на них полостей, заполненных кровью.
Основной опасностью является разрыв поврежденного участка, и следующее за ним внутреннее кровотечение, которое может привести к летальному исходу при несвоевременном обращении за квалифицированной медицинской помощью.
Интересно! Аневризма селезеночной артерии (АСА) — второе по частоте заболевание после аневризмы аорты. Четверть случаев, описанных в медицинской литературе, имели осложнения в виде ее разрыва и сильного кровотечения в брюшную полость.
Что собой представляет аневризма
Селезеночная артерия – наиболее крупный кровеносный сосуд, отходящий от чревного ствола. Он обеспечивает питание нескольких внутренних органов: поджелудочной железы, желудка, крупного сальника.
Виды аневризмы селезеночной артерии
Выделяются аневризмы нескольких видов:
- мешотчатая;
- боковая;
- веретенообразная;
- ложная.
Первая выглядит как шарик, наполненный кровью и прикрепленный ножкой к поврежденному сосуду. Вторая представляет собой образование в виде опухоли на одной из стенок. Веретенообразная аневризма поражает участок сосуда целиком. Ложная аневризма, несмотря на успокаивающее название, не менее опасна, и образуется в результате травм сосудов или воздействия на орган ферментов поджелудочной железы.
Существует также классификация по размерам образования: небольшие (до 11 мм), средние – 11-25 мм. Аневризмы более 25 мм считаются гигантскими.
Основные симптомы заболевания артерии
Симптомы аневризмы селезеночной артерии
В большинстве случаев болезнь никак себя не обнаруживает, и все-таки есть определенные ощущения, появление которых должно насторожить и послужить поводом для посещения доктора. Прежде всего, это тупые боли в области левого подреберья, иногда отдающие в область левой лопатки.
Переход болевых ощущений в область живота свидетельствует об увеличении размеров образования. Симптомы мешотчатой аневризмы селезеночной артерии могут проявляться болезненными ощущениями при прощупывании беспокоящего участка брюшной полости.
Осторожно! Как показывает практика, иногда первые симптомы болезни могут возникнуть уже после разрыва аневризмы. Поэтому почувствовав резкую боль и тяжесть в боку, срочно обратитесь к специалисту.
Условия возникновения патологии артерии
Чаще всего аневризму селезеночной артерии диагностируют у пациентов, какие страдают фиброзно-мышечной дисплазией – заболеванием, которое характеризуется замещением ткани костей фиброзными образованиями.
Также причиной возникновения АСА у старших пациентов является атеросклероз. Он ослабляет стенки сосудов, снижает их эластичность и тонус.
Немного младше возрастная категория больных подвержена аневризме из-за резких перепадов давления, ослабляющих ткани сосудов. Болезнь у них могут спровоцировать и воспалительные процессы в органах, находящихся по соседству, такие, как хронический панкреатит или язва желудка.
Десятая часть случаев заболевания является следствием воздействия на организм инфекций.
Еще одна категория пациентов, в которой постановка диагноза мешотчатая аневризма селезеночной артерии достаточно частое явление – многодетные женщины, сосудистая система каких подвергалась в процессе многократных беременностей гормональному и гемодинамическому воздействию (нарушению кровотока).
Важно! Какой бы ни была причина возникновения аневризмы, профильные специалисты советуют решить эту проблему кардинальным методом и в кратчайшие сроки.
Своевременный диагноз – успешное выздоровление
Диагностика заболевания проводится комплексом процедур, которые включают в себя несколько видов обследования организма:
- внешний осмотр;
- аускультация;
- рентгеновское обследование, ангиограмма;
- ультразвуковое исследование (УЗИ);
- томографы компьютерный (КТ) и магнитно-резонансный (МРТ).
Современные аппаратные исследования – УЗИ, КТ и МРТ дают исчерпывающие данные, с помощью которых возможно довольно точно прогнозировать развитие болезни, и при необходимости принять экстренные меры.
Методики лечения аневризмы аорты
Одной из наиболее действенных методик устранения риска разрыва образования и следующего за ним опасного внутреннего кровотечения – оперативное хирургическое вмешательство.
Лечение аневризмы селезеночной артерии относится к области сосудистой хирургии.
Показаниями к операции могут послужить прогрессирование болезни, признаки кальцинирования пораженного участка, разрыв образования, а также врожденная патология.
Резекция аневризмы артерии
В большинстве случаев рекомендуется резекция аневризмы селезеночной артерии.
Современные методы лечения предусматривают малотравматическое хирургическое вмешательство с использованием высокотехнологичных инструментов.
Например, при лапароскопии операция проводится через небольшие отверстия, в которые вводится хирургический инструмент. Пациент находится в стационаре не более одной недели, быстро восстанавливается.
Остановимся еще на двух методиках хирургического вмешательства. При лечении аневризмы селезеночной артерии проводится стентирование или ангиопластика. В первом случае сосуд укрепляется при помощи стента – специального каркаса, вводимого в орган. При ангеопластике пораженная часть сосуда замещается искусственным или натуральным фрагментом.
В некоторых случаях, например, если аневризма имеет большие размеры или находится в непосредственной близости к селезенке, хирург принимает решение о спленэктомии – удалении селезенки. Это значительно ухудшает сопротивляемость организма к инфекциям, но в основном не влияет на образ жизни пациента.
Внимание! Не занимайтесь самолечением. При первых же неприятных симптомах обратитесь за квалифицированной медицинской помощью. Помните, что чем раньше будет произведена диагностика и лечение, тем быстрее вы вернетесь к здоровому, активному образу жизни.
Источник:
Аневризма селезеночной артерии и ее особенности
На сегодняшний день аневризма селезеночной артерии является одним из самых распространенных видов заболевания такого характера. Чаще такой патологии встречается только расширение стенок брюшных аорт.
Заболевание преимущественно женское, то есть у мужчин оно встречается гораздо реже. Более того, пожилые люди больше подвержены развитию такой болезни, так как спровоцирована она может быть атеросклерозом.
Но, несмотря на вышеперечисленное, важно упомянуть, что молодые девушки также подвержены развитию такого недуга. При этом в молодом возрасте провокатором заболевания являются повышенное давление печеночной вены и селезенки.
То есть, несмотря на то, что заболевание относится к категории возрастных патологий, оно может проявляться в молодом возрасте и полностью предотвратить его нельзя.
Конечно, снизить вероятность развития недуга возможно, придерживаясь правильного образа жизни, который заключается в регулярных занятиях спортом, правильном питании, отказе от вредных привычек и не только.
Важно! Так же, как и любое заболевание, выпячивание стенок сосудов легче всего поддается лечению на ранних стадиях. Именно поэтому важно регулярно посещать специалистов с целью планового обследования.
Заболевание может давать достаточно серьезные осложнения, именно поэтому производить лечение такого недуга нужно обязательно. Но для того, чтобы понять, как избавиться от болезни, для начала нужно разобраться, почему оно возникает.
Причины аневризма селезеночной артерии
Боль в области подреберья — один из признаков
Как уже было указано, мешотчатая аневризма селезеночной артерии является достаточно серьезным заболеванием, которое может давать тяжелые осложнения. Но при этом статистика показывает, что в 80% случаев заболевание протекает бессимптомно, что делает его еще более опасным.
Из-за отсутствия характерных и ярко выраженных симптомов очень часто заболевание диагностируется в процессе планового осмотра. То есть на протяжении длительного времени больной не подозревает о наличии заболевания, а это уже прямая угроза разрыва расширения.
Разрыв сопровождается уже более серьезными и весьма ощутимыми проявлениями, более того, порой последствия такого нарушения могут быть очень серьезными.
Прочтите! Аневризма брюшной аорты

Согласно статистике, в 10% случаев именно разрыв выпячивания становился причиной обращения к специалистам. Это происходит за счет того, что такие патологические процессы сопровождаются яркой симптоматикой.
Важно! Игнорировать признаки разрыва расширения ни в коем случае нельзя, так как в результате таких процессов происходит кровоизлияние, которое может стать причиной непоправимых последствий вплоть до летального исхода.
Что касается причин возникновения аневризмы селезеночной артерии, то конечно, достоверно определить, почему может возникнуть недуг, нельзя. Но удалось определить ряд факторов, которые могут стать провокатором возникновения такой болезни.
- воспалительные процессы;
- фиброзная дисплазия;
- беременность многоплодного характера;
- гипертензия портального типа.
Многоплодная беременность может спровоцировать заболевание
Благодаря тому, что пациенты своевременно обращаются за помощью к специалистам, процент заболеваний, который заканчивается разрывом расширения, очень низкий, приблизительно 2%.
Также стоит отметить, что в 90% случаев многоплодной беременности диагностируется такая патология.
То есть можно сделать вывод, что единственный вариант сохранить здоровье организма – это ответственно относиться ко всем изменениям и регулярно проходить плановое обследование.
Симптомы мешотчатой аневризмы селезеночной артерии в большинстве случаев отсутствуют вовсе, и это является главной опасностью такого недуга. Но причины для беспокойства все же, могут проявляться в виде частых болевых ощущений в области подреберья.
Именно этот симптом чаще всего становится причиной того, что человек обращается к специалистам для проведения полной диагностики. Важно отметить, что чаще всего такое заболевание локализуется в левой части, соответственно, и симптомы будут проявляться в тех же областях.
При появлении подозрения на наличие такого заболевания важно пройти полное обследование, которое заключается в проведении аппаратных и лабораторных исследований.
Диагностироваться аневризма может разными способами, самым действенным методом определения недуга является рентгенологическое исследование.
На рентгеновском снимке такое заболевание проявляется в виде уплотнения, которое имеет четко выраженные округлые формы. Локализуется уплотнение в области селезенки. Помимо рентгена, распознать недуг можно при помощи ультразвукового исследования.
Что касается признаков, которыми может сопровождаться разрыв, то очень часто они идентичные с такими патологиями:
- Желтуха.
- Желчные колики.
- Желудочно-кишечные кровотечения.
Прочтите! Расслаивающая аневризма аорты
Важно! Есть несколько методов лечения аневризмы селезеночной артерии, но как бы там ни было, терапия должна проходить под наблюдением врача и не в коем случае нельзя заниматься самолечением.
Методы терапии
Хирургический метод — как один из вариантов лечения
Несмотря на то, что лечение аневризмы селезеночной артерии может производиться разными способами, чаще всего пациентам назначается оперативное вмешательство.
Хирургическое лечение может назначаться по разным причинам, особенно, если есть риск разрыва.
Помимо этого, оперативное вмешательство применяется в случае сильных болевых ощущений и других неприятных симптомов, которые влияют на уровень жизни пациента.
Но если болезнь не характеризуется большими размерами и ярко выраженными симптомами, тогда проведение оперативного вмешательства может быть нецелесообразным.
В этом случае пациентам необходимо регулярно проходить обследование, для того чтобы отслеживать процесс развития патологии.
На сегодняшний день оперирование такой болезни проводится щадящим методом, то есть, в удалении органа нет необходимости.
Как бы там ни было, для того чтобы минимизировать последствия от такой патологии, очень важно строго соблюдать все рекомендации специалистов, а в случае проведения операции — пройти полный курс реабилитации.
Источник:
Как развивается и лечится аневризма селезёночной артерии?
По распространенности аневризмы артерий занимают среди патологий сердечнососудистой системы первое место.
Причинами изменения структуры сосудов могут быть травмы, заболевания, нарушения обмена веществ и другие факторы.Аневризма селезёночной артерии диагностируется в каждом пятом случае обращения к специалисту.
В группе риска находятся девушки и женщины, у которых заболевание встречается в два раза чаще, чем у мужчин.
Проявления и симптоматика болезни
Причина развития аневризмы сосудов селезенки меняется в зависимости от возраста пациента. Так у пожилых людей, этиология заболевания чаще всего связана с развитием атеросклероза.
В молодом возрасте изменения происходят по причине резкого скачка кровяного давления, в результате чего травмируются и деформируются стенки сосудов.
Еще одной причиной, провоцирующей развитие ложной аневризмы селезеночной артерии, является травматический фактор. Диагноз часто встречается у женщин с многоплодной беременностью.
Симптомы заболевания отсутствуют в 80% случаев. Это мешает распознать аневризму, и часто ее обнаруживают случайно или уже после того как произошел разрыв артерии.
Еще одной причиной диагностики отклонений на поздней стадии является то, что пациенты, находящиеся в группе риска, практически ничего не знают о проявлениях заболевания. Между тем симптомы аневризмы можно достаточно легко распознать.
Обратить внимание необходимо на следующие проявления:
- Боль в области подреберья. Локализуется с левой стороны, имеет длительный характер. Не проходит под действием анальгетиков.
- Неприятные ощущения при пальпации пораженного участка.
При любом из вышеуказанных симптомов, необходимо обратиться за консультацией к сосудистому хирургу. Для подтверждения диагноза потребуется провести ряд дополнительных исследований.
Опасна ли аневризма
Любой разрыв артерии является потенциально опасным и угрожает жизни пациента. Согласно статистике, летальный исход наблюдается в 20-25% случаев заболевания. Операция является практически единственным результативным лечением. Остальные методы в лучшем случае, снимают симптомы и не могут принести длительной пользы.
Жить с аневризмой и отказаться от проведения хирургической терапии все равно, что находится рядом с часовой бомбой. Со временем все равно происходят патологические изменения, опасные своими осложнениями.Последствием патологии сосудов может быть:
- Нарушение целостности стенок сосудов. Аневризма часто разрывается.
Это происходит по причине нарушения структуры артерий. В нормальном состоянии все сосуды эластичные и способны кратковременно расширяться, выдерживая практически любое артериальное давление.Хроническая аневризма приводит к тому, что стенки истончаются и становятся ломкими. В результате любое повышение АД может привести к внутреннему кровотечению.
Если не провести эмболизацию сосудов с одновременным применением ангиопластики, высока вероятность летального исхода.
- Холестериновые отложения, появляющиеся в результате развития атеросклероза опасны другими осложнениями. Лечение аневризмы с отложением на ранней стадии имеет благоприятный прогноз.
Бляшки до тех пор, пока не произошло их кальцинирование, можно вывести из кровотока и предотвратить развитие более серьезной патологии. По мере развития заболевания, диагностируется аневризма с кальцинированными стенками.
Проблема терапии на этом этапе связана с тем, что бляшка буквально врастает в стенки сосуда и после ее извлечения на месте отложений образовывается разрыв ткани и открывается внутреннее кровотечение. Проблема лечения малых и больших аневризм на этом этапе также связана с вероятным образованием тромбоза.
Большинство ведущих специалистов в области сосудистой хирургии сходятся во мнении, что врожденную и приобретенную прогрессирующую аневризму лучше оперировать во избежание более серьезных осложнений. Внутреннее кровотечение может привести к необходимости в проведении аутотрансплантации селезенки.
Как лечат данное заболевание
Аневризму селезеночной артерии лечит сосудистый хирург. Его задачей является определение целесообразности назначения оперативного вмешательства.Показанием к хирургическому лечению является:
- Быстрое прогрессирование. После обнаружения аневризмы назначается постоянное обследование пациента с целью наблюдения за развитием заболевания. Быстрый прогресс патологии является показанием к назначению операции. Без динамики способ лечения определяется в зависимости от клинической картины изменений структуры сосудов.
- Признаки кальцинированной аневризмы. Устранить изменения в структуре сосудов без хирургического вмешательства не удастся. Развитие патологических изменений на фоне атеросклероза обязательно приводит к разрыву артерии.
- Разрыв аневризмы во время беременности. При многоплодной беременности существенно увеличивается риск поражения селезенки. По некоторым данным, развитие аневризмы диагностируется в 90% случаев. Но проведение операции требуется только при потере целостности тканей.
- Большие размеры аневризмы. Существует различное мнение о том, какой объем расширения является показанием к проведению хирургической операции. Так, мешотчатая аневризма может увеличиваться в 2-3 раза. Лечащий врач принимает решение о хирургическом вмешательстве на основании клинической картины и истории болезни пациента.
- Врожденная патология. Оперативное вмешательство обязательно. Отличием врожденной аневризмы селезеночной артерии от приобретенной, является скорость развития и тяжесть возникающих осложнений без необходимого лечения.
Хирургическая операция проводится двумя способами:
- Стентирование аневризмы — в артерии делается небольшой надрез и внутрь полости вводится стент укрепляющий стенки сосуда и предотвращающий их разрыв.
- Ангиопластика — с помощью искусственного или натурального сосуда выполняется замещение пораженной части артерии, либо делается образный обход, который снижает давление в месте патологических нарушений. Во время операции используется положительный эффект эмболизации селезеночной артерии при её аневризме. Такое решение позволяет избежать необходимости в замене органа.
Разрыв аневризмы заканчивается смертью в каждом пятом случае!
Жизнь после лечения
Проблемы профилактики заболевания связаны с тем, что невозможно гарантировать полную безопасность пациента без проведения хирургического вмешательства. В любой момент можно ожидать разрыва артерии.
Чтобы предотвратить осложнения, требуется проведение диагностики с целью отслеживания всех негативных тенденций. Так от пациента требуется регулярное прохождение компьютерной томографии.

КТ признаки ясно указывают на рост аневризмы. Благодаря томографии хирург сможет отследить расширение артерии.
Лечение народными средствами малоэффективно и часто опасно, поэтому практически не используется.
Источник:
Аневризма селезеночной артерии: код по МКБ-10, лечение, виды (в т.ч. мешотчатая, ложная)
Аневризма артерии, питающей селезенку, входит в группу заболеваний под названием «аневризмы висцеральных артерий». Висцеральные сосуды кровоснабжают органы грудной, брюшной и тазовой полостей.
Селезеночная артерия — это крупный артериальный ствол, ветви которого питают желудок, селезенку и поджелудочную железу. Аневризматическое расширение данного сосуда приводит к ухудшению кровотока в левой половине брюшной полости.
Что такое аневризма селезеночной артерии?
Локальное патологическое расширение сосуда, питающего селезенку, называется аневризмой селезеночной артерии (АСА). В структуре всех аневризм висцеральных сосудов АСА занимает до 60% и поражает женщин в 4 раза чаще, чем мужчин. Возможная локализация может определяться:
- В основном стволе селезеночной артерии;
- В ее ветвях;
- В местах сосудистого разветвления.
Заболевание является причиной смерти 11% больных с острой аневризматической патологией и имеет клинику, имитирующую множество хирургических болезней.
Аневризма селезеночной артерии обозначена кодом по МКБ-10 — I72.8 (Аневризма и расслоение других уточненных артерий).
Виды АСА
По морфологии различают две группы образований:
- Мешотчатые аневризмы селезеночных артерий – развиваются в местах отхождения ветвей артерии;
- Диффузные – в области ее основного ствола.
По происхождению выделяют:
- Истинные аневризмы – чаще встречаются у женщин. Анатомически повторяют стенку сосуда;
- Ложные (травматические) – чаще встречаются у мужчин. Представлены соединительной тканью. Подробнее о ложных и истинных аневризмах узнаете здесь.
В 80% случаев развивается одна аневризма. Множественность поражения наблюдается у 20% больных.
Причины и группы риска
Среди причин выделяют наиболее вероятные (встречающиеся у 70% пациентов) и возможные. Наиболее вероятные причины:
- Мышечно-фиброзная дисплазия;
- Гипертензия в системе воротной вены в сочетании с увеличением селезенки (спленомегалией);
- Трансплантация печени;
- Сосудистые осложнения беременности.
Возможные причины:
- Болезни желез внутренней секреции;
- Атеросклероз;
- Воспалительные заболевания органов живота (панкреатит, язва желудка);
- Гипертоническая болезнь.
В группе риска находятся люди:
- Страдающие бактериальным эндокардитом;
- Беременные;
- Больные алкоголизмом, наркоманией;
- Злоупотребляющие курением;
- Перенесшие любые виды травм, в том числе оперативные вмешательства на органах живота.
До 10% АСА имеют инфекционную природу. Патологию обнаруживают у 40% беременных женщин (с третьей и более беременностью), и у 20% мужчин после операций на органах живота.
Основные признаки и отличительные симптомы
Особенностью заболевания является разнообразие неспецифических проявлений. У части больных течение бессимптомное. Признаки отличаются при неосложненном и осложненном течении.
Симптомы при неосложненной форме:
- Тупая периодическая или постоянная боль, локализованная в левом подреберье;
- Боль может иррадиировать в левый реберно-позвоночный угол;
- Болевой синдром усиливается пропорционально увеличению аневризмы.
Осложненное течение протекает остро и может имитировать множество хирургических заболеваний. Наблюдают следующие симптомы:
- Режущая сковывающая боль в животе и пояснице;
- Лихорадка до 38 градусов и выше;
- Учащение дыхания и сердцебиения;
- «Доскообразный» напряженный живот;
- Кровавый стул;
- Локальный отек в поясничной области (появление забрюшинной гематомы);
- Падение артериального давления.
Осложненное течение АСА у беременных имитирует акушерскую патологию:
- Отслойку плаценты;
- Эмболию околоплодными водами;
- Маточный разрыв.
Для АСА характерен феномен «неполного разрыва», наблюдаемый у 25% больных.
В момент разрыва повреждается только часть аневризмы, что приводит к временной остановке кровотечения за счет сдавливающей гематомы.
В этот период большинство пациентов чувствуют улучшение состояния, однако через 1-2 суток разрыв становится полным, что вызывает повторный приступ «острого живота» и ухудшает прогноз для жизни.
Опасность и осложнения
Опасность заболевания выражается в следующем:
- Клиника неспецифична;
- Увеличение образования может длительно не сопровождаться ухудшением состояния;
- При больших размерах нарушается кровоснабжение внутренних органов.
Совокупность этих факторов приводит к тому, что симптомы осложнения могут являться первым и единственным проявлением патологии.
Без лечения вероятны следующие осложнения:
- Разрыв аневризмы:
- Кровоизлияние в брюшную полость или забрюшинное пространство;
- Развитие артериовенозного свища;
- Гематома забрюшинного пространства;
- Панкреонекроз;
- Инфицирование;
- Перитонит.
Вероятность разрыва при диаметре образования до 2 см составляет 5-10%, менее 2 см – 2%.
В группе риска по осложненному течению находятся:
- Беременные женщины;
- Пациенты после пересадки печени.
После лечения в плановом порядке осложнения не наблюдаются. При терапии осложненных состояний возможно развитие:
- Кровотечения из поджелудочной железы или желудка;
- Вторичного инфицирования;
- Сепсиса.
Диагностика
Опрос, осмотр и объективное исследование малоэффективны. При аускультации удается выявить систолический шум над областью аневризмы только в 10-12% случаев.
Подтверждение диагноза проводится инструментальными методами:
- Рентгенография. Специфический симптом АСА — «кальцинированное кольцо» — участок сосуда, подвергшийся отложению кальцинатов. Симптом указывает на атеросклероз и длительное течение заболевания;
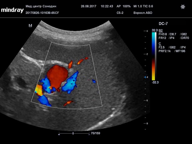
- УЗИ. Выявляют округлое анэхогенное (темное) образование в проекции селезенки или поджелудочной железы, заполненное кровью;
- Дуплексное сканирование. Метод используют для определения диаметра аневризмы и характера кровотока в ней;
- Селективная ангиография. Методика помогает обнаружить характерные для данного образования тромботические массы;
- КТ позволяет дифференцировать аневризму с другими заболеваниями по сосудистому строению стенки, а также по связи с селезеночной артерией, чего не бывает при опухолях и кистах. Специфический симптом — кальцинаты;
- МРТ используют для дифференциальной диагностики аневризмы с кистами и другими новообразованиями. Метод помогает определить сдавление внутренних органов и забрюшинную гематому.
Полную информацию о диагностике сосудов вы найдете в этой статье.
Лечение
При размерах образования до 2 см и отсутствии жалоб проводят динамическое наблюдение за больным:
- Периодические осмотры сосудистым хирургом;
- УЗИ 1 раз в 6 месяцев.
Показания к оперативному вмешательству:
- Диаметр более 2 см;
- Наличие жалоб;
- Беременность;
- Детородный возраст (до 45 лет);
- Угроза разрыва.
Операции могут быть эндоваскулярными и реконструктивными.
Метод выбора — эндоваскулярная окклюзия (закрытие просвета) артерии селезенки. Операцию проводят всем больным, у которых аневризма не связана с воспалительными заболеваниями панкреатической железы или желудка. Остальным пациентам выполняются открытые операции:
- Лигирование (наложение лигатуры на сосуд);
- Удаление выпячивания;
- Резекция с удалением селезенки (при расположении образования у дистального отдела или в воротах органа);
- Резекция с удалением части поджелудочной железы (при воспалении, распространяющемся на поджелудочную железу).
Вашему вниманию 2 статьи о возможностях диагностики и лечения аневризм селезеночной артерии:
- Скачать «Диагностика и рентгенэндоваскулярное лечение аневризмы селезеночной артерии». Авторы: М. Б. Паценко, В. А. Иванов, А. В. Образцов, Д. А. Мироненко, С. Н. Крыжов, Н. В. Образцова, В. Л. Смирнов.
- Скачать «Аневризмы селезеночной артерии: возможности методов лучевой диагностики и лечения». Авторы: М.В. Вишнякова, А.И. Лобаков, А.В. Лерман, Г.А. Сташук, С.Э. Дуброва, А.В. Ващенко, И.Н. Демидов, Е.А. Степанова, А.Г. Платонова.
Ложная аневризма селезеночной артерии
Ложные аневризмы наиболее характерны для мужчин и представлены соединительнотканными мешочками, связанными с артерией посредством рубцового мостика. Это образования рубцовой этиологии, развивающиеся после травмы или на фоне хирургического заболевания. У 90% больных они являются осложнением кист поджелудочной железы.
Отличительные черты:
- Длительное бессимптомное течение;
- Меньший риск разрывов и осложнений;
- Велика вероятность полного кальцинирования.
Основным проявлением является тупая периодическая боль в левой половине спины или левом подреберье, возникающая при физической нагрузке. Диагностика не затруднена. Наиболее эффективны МРТ и КТ, посредством которых выявляют рубцовое образование, заполняющееся кровью через соединительный мост с селезеночной артерией.
Лечение оперативное. Выполняются следующие виды вмешательств:
- Перевязка сосуда с последующей установкой дренажа;
- Удаление кисты или дистальной части поджелудочной железы;
- Ушивание стенки артерии.
Прогнозы
Прогноз относительно неблагоприятный. Угрожающие жизни состояния развиваются только у 2% больных, однако летальность при осложнениях достигает 25%. Среди беременных смертность от осложнений достигает 70%. Послеоперационная летальность у осложненных больных достигает 30%, у плановых – не отмечена.
При своевременном выявлении и лечении заболевания продолжительность и качество жизни не изменяются.
Аневризма селезеночной артерии – распространенная разновидность сосудистой патологии внутренних органов. Заболевание характеризуется частым поражением женщин и возможным бессимптомным течением. В группе риска находятся беременные, а также люди, страдающие хирургической патологией органов живота.

При появлении боли в левом подреберье стоит незамедлительно обратиться за медицинской помощью. Своевременная инструментальная диагностика способствует подбору адекватного лечения и профилактике серьезных осложнений.
Источник:
Аневризма селезеночной артерии: основные характеристики
Чтобы понять, что такое аневризма селезеночной артерии, следует разобраться в том, что собой представляет поражаемый орган. Речь идет о наиболее толстой ветви, которая отходит от чревного ствола.
Крупная артерия находится в задней части верхнего края поджелудочной железы, а направляется она в левую сторону.
Главной функцией селезеночного кровеносного сосуда является питание таких органов, как поджелудочная железа, желудок и крупный сальник.
Симптоматика болезни
Интересно! На сегодняшний день отмечается, что аневризмы крупных сосудов по распространенности среди заболеваний сердечно-сосудистой системы занимают первое место. Поражение селезеночного отдела диагностируется у каждого пятого обратившегося к врачу.
Причина заболевания
Аневризма селезеночной артерии — это патологическое расширение полости крупного сосуда, сопровождающееся появлением образования в том месте, где его не должно быть. Нередки случаи (80%), когда заболевание никак не проявляет себя.
Тем не менее, есть четкие симптомы, характеризующие видоизменение крупных артерий.
О них нужно знать, потому что именно неосведомленность людей в данном вопросе, особенно тех, кто находится в зоне риска, и является причиной поздней диагностики заболевания.
Итак, вы обязательно должны обратить внимание, если в области подреберья появляются неприятные, иногда даже нетерпимые ощущения.
Боль концентрируется преимущественно с левой стороны, а также может длительное время не проходить, даже в условиях приема анальгетиков.
Симптомы мешотчатой аневризмы селезеночной артерии также могут проявляться в виде ощущений неприятного характера при пальпации участка поражения.
Нельзя сказать, что данные проявления являются специфическими, но это не значит, что их можно игнорировать. Своевременное обращение к врачу позволит избежать серьезных последствий патологии, которые клинически похожи на кровотечения в ЖКТ, желчные колики и т.д. Основной метод диагностики в данном случае — это ультразвуковое исследование.
Что вызывает патологию и как часто она встречается?
Главной причиной аневризмы является атеросклероз. Это состояние, в условиях которого целостность и эластичность кровеносных сосудов находится под угрозой.
Если же диагноз мешотчатая аневризма селезеночной артерии ставится молодым особам, то вероятной причиной этого являются резкие скачки артериального давления. Неоднократный их повтор способствует травмированию и деформации сосудистых стенок.
Довольно часто подобный диагноз в свой адрес слышат женщины с многоплодной беременностью. А вот ложные аневризмы имеют непосредственную связь с механическими травмами сосудов.
Согласно статистическим данным, основной список причин патологии все же включает:
- дисплазию фиброзного типа;
- портальную форму гипертензии;
- воспалительные процессы в организме.
Ученые отмечают, что около 2% населения всей страны сталкивается с разрывом аневризмы. Более того, 24% всех смертей были вызваны разрывом патологического образования. В 90% многоплодной беременности также ставится подобный диагноз.
Внимание! Все врачи сходятся в едином мнении: здоровьем нельзя пренебрегать. И если появляются, какие-либо нарушения общего состояния, то нужно сразу же обращаться за квалифицированной помощью к специалистам.
Возможные осложнения
Самой главной опасностью аневризмы артерии является ее разрыв. Подобное состояние угрожает летальным исходом, который наступает в 20-25% случаев. Если вы решили отказаться от оперативного лечения, то это все равно, что сидеть на пороховой бочке. По мере развития патологии все равно происходят структурные изменения кровеносных сосудов.

Выделяют несколько состояний, которые могут стать последствиями аневризмы.
- Нарушение целостности кровеносного канала — это обусловлено истончением стенок и повышением уровня их ломкости. Это делает их восприимчивыми даже к незначительным повышениям артериального давления. При разрыве происходит внутреннее кровотечение, и если вовремя не принять меры, то все может закончиться плачевно.
- Аневризма селезеночного кровеносного сосуда на фоне холестериновых отложений ведет себя несколько иначе. Пока холестериновые бляшки не успели кальцинироваться, от них можно благополучно избавиться, тем самым предотвратив смертельно опасную патологию. Лечение сильно усложняется, когда бляшки буквально врастают в стенки артерии. Дело в том, что после их удаления опять же таки, открывается кровотечение, а также велика вероятность тромбоза.
Ведущие специалисты считают, что какой бы не была природа происхождения аневризмы, если она прогрессирующая, то лучший способ от нее избавиться, это операция. Причем с этим нужно не затягивать, потому что если откроется кровотечение внутри органа, его придется заменить трансплантатом.
Терапия заболевания
Как лечится аневризма
Как было сказано, основное лечение аневризмы селезеночной артерии — это хирургическое вмешательство. Занимается этим сосудистый хирург, который в индивидуальном порядке определяет целесообразность проведения операции. Главными показаниями являются:
- стремительное развитие аневризмы;
- признаки кальцинирования;
- разрыв образования в период вынашивания ребенка;
- крупные размеры;
- врожденная патология.
Вмешательство может осуществляться двумя способами.
- Стентирование заключается в том, что в крупной артерии делается небольшой надрез. После этого в полость сосуда помещается специальный стент. Его главной функцией является укрепление сосудистых стенок и предотвращение вероятного разрыва.
- Ангиопластика осуществляется с использованием натурального/искусственного кровеносного сосуда. Хирург искусно замещает поврежденную часть сосуда или же организовывает обходной путь. Это позволяет ощутимо снизить уровень давления в том месте, где произошли патологические нарушения.
Запомните одно, никогда не нужно надеяться на то, что аневризма селезеночной артерии рассосется сама по себе. Этого не произойдет, поэтому так важно предпринять меры, не дожидаясь ее разрыва.
Источник:
Аневризма селезеночной артерии: причины развития, лечение и профилактика
Дополнительное образование:
ГОУ «Институт усовершенствования врачей» Минздравсоцразвития Чувашии
Контакты: scherbakova@cardioplanet.ru
Патологий сердечно-сосудистой системы достаточно много, но одной из самых распространенных считается аневризма артерий. Причинами этого изменения структуры сосудов могут быть различные заболевания, травмы и прочие поражающие факторы.
Среди подобных патологий встречается аневризма селезеночной артерии, которая диагностируется у каждого пятого пациента, обратившегося к врачу.
Заболевшими могут быть представители обоих полов, но есть один интересный нюанс — у женщин данная патология встречается в два раза чаще.
Симптомы и причины заболевания
Недуг может возникать вследствие самых различных факторов, при этом немалую роль играет возраст пациента. Если в молодом возрасте данная патология появляется из-за резкого перепада кровяного давления, то у людей в возрасте, это связано с появлением атеросклероза сосудов.
Нередко болезнь является следствием воздействия извне, т.е. различных травм и повреждений. Очень часто этот недуг диагностируется у женщин разного возраста, у которых наблюдается многоплодная беременность.
Симптоматика заболевания слабо выражена, а в 80% случаев она и вовсе отсутствует. Это значительно усложняет диагностику, нередки случаи, когда аневризма обнаруживается и вовсе случайно. Также данная патология обнаруживается уже после того, как артерия разорвалась, в чем и заключается опасность этого заболевания.
Диагностика затрудняется также тем, что большинство людей, которые по различным причинам находятся в группе риска, элементарно не знают о тех симптомах, которые указывают на данное заболевание. Хотя проявления недуга достаточно характерны, поэтому их достаточно легко распознать:
- Болевые ощущения, которые локализуются под левым подреберьем. Боль достаточно интенсивная и продолжительная, которая не утихает даже после приема обезболивающих средств.
- Боль присутствует также при пальпации больного места.
Если вышеуказанные симптомы беспокоят вас на постоянной основе, то в таком случае нужно прийти к врачу, который назначает ряд дополнительных исследований.
Последствия аневризмы селезеночной артерии
Болезнь опасна тем, что существует риск разрыва этой артерии, что само по себе представляет угрозу для жизни пациента. Как показывает статистика, смерть наступает практически в 25% случаев.
Данное заболевание весьма специфично, поэтому консервативные методы лечения здесь используются только в качестве избавления от симптомов. Само же лечение заболевание проводится только путем хирургии.
Полноценная жизнь и аневризма — это два несовместимых понятия. Рано или поздно она начнет проявлять себя ухудшением состояния больного и прочими осложнениями. Последствия могут быть самыми различными:
- Аневризма нередко приводит к нарушению целостности сосудов. Если они здоровы, то они могут выдержать любые скачки давления, благодаря своей эластичности. Но данное заболевание делает сосуды более ломкими, поэтом любое повышение артериального давления может стать следствием внутреннего кровотечения.
- Могут возникать отложения холестерина, что также приводит к осложнениям в организме. Если удается вывести холестериновые бляшки на раннем этапе заболевания, то прогноз может быть достаточно благоприятным. Но если они запустить болезнь, то бляшки могут буквально врастать в стенки сосудов, что значительно усложняет процесс избавления от них. Дело в том, что после извлечения бляшки, на ее месте образуется разрыв, что также ведет к появлению кровотечения.
Большинство практикующих хирургов утверждают, что при данном заболевании операция должна проводиться в любом случае, чтобы снизить риск возможных осложнений. Если откроется внутреннее кровотечение, то в таком случае придется пересаживать здоровую селезенку, а это дополнительный риск для пациента.
Вообще, селезеночная артерия относится к числу периферических, которых достаточно много в организме человека. Соответственно, и аневризмы этих артерий распространены не менее часто, чем селезеночной. Вот основные из этих форм заболеваний:
- Аневризма подколенной артерии. При такой форме заболевания, пациент чувствует уплотнение, которое локализуется в области подколенной складки. Она периодически пульсирует, а болевые ощущения могут увеличиваться при различных физических нагрузках. При этом, боль локализуется по всей длине ноги.
- Аневризма подвздошной артерии. Симптоматика практически полностью совпадает с предыдущей аневризмой. Боль также распространяется по всей нижней конечности, но она может присутствовать не только при ходьбе или нагрузках, но и в спокойном состоянии. Данная патология может стать следствием образования трофических язв или гангрены.
Аневризма периферических артерий распространяется преимущественно на артерии, связанные с нижними конечностями. Однако, выпячивание может локализоваться и на других артериях сонной, гастродуоденальной артерии и т.д.
Как лечить аневризму?
Решение о целесообразности проведения хирургического вмешательства принимает хирург. Можно выделить несколько основных показания к операции:
- Патология прогрессирует быстрыми темпами. С момента обнаружения заболевания, за пациентом начинается строгий надзор, позволяющий оценить степень развития патологии. Если она прогрессирует, то операция остается единственным способом лечения. Если явных изменений нет, то врач принимает решение о назначении другого способа лечения.
- Если у больного наблюдается кальцинированная аневризма. В таком случае, операция является единственным выходом, ведь если ее не проводить, то существует большая вероятность разрыва артерии.
- Многоплодная беременность может стать следствием нарушений в работе селезенки, что ведет к появлению аневризмы. Однако, оперативное вмешательство целесообразно только в том случае, если целостность тканей была нарушена.
- Аневризма разрослась до больших размеров. Решение о проведении операции принимает врач, основываясь на конкретной клинической картине и размерах аневризмы.
- Аневризма может быть двух видов — врожденная и приобретенная. Так вот, если у пациента диагностируется первый тип аневризмы, то хирургическое вмешательство является обязательным, во избежание развития осложнений.
По поводу самой операции, то она может быть проведена двумя способами:
- Процедура стентирования. На пораженной артерии делается небольшой разрез, В это отверстие вводится стент, который должен укрепить стенки артерии, чтобы предотвратить возможный разрыв сосуда.
- Ангиопластика. В ходе данной операции происходит замена пораженного участка сосуда на здоровый участок артерии. При этом, сосуд может быть натуральным, либо искусственного происхождения. Подобные манипуляции позволяют значительно снизить артериальное давление на замененном участке сосуда.
Наличие аневризмы селезеночной артерии представляет реальную опасность для человека, поэтому ни один врач не может гарантировать нормальную жизнедеятельность таким больным, если не проводить оперативное вмешательство. Операция производится в целях предотвращения разрыва артерии — одной из основных причин смертности при этом заболевании.
https://youtube.com/watch?v=jDjzFoj5Y1w
Чтобы следить за малейшим изменением в росте аневризмы, а также для предотвращения возможных осложнений, пациент должен на регулярной основе проходить компьютерную томографию. Помимо этого, есть и другие способы диагностики:
- первичный осмотр;
- аускультация;
- обследование с помощью рентгена;
- УЗИ;
- МРТ — магнитно-резонансная томография.
Именно при помощи компьютерной или же магнитно-резонансной томографии удается получить самую подробную информацию, касающуюся клинической картины заболевания. Стоит отметить, что данные диагностические мероприятия используются и для выявления других заболеваний подобного рода:
- аневризма коронарной артерии;
- артериальная аневризма;
- артериовенозная аневризма;
- аневризма в позвоночной артерии;
- аневризма, локализованная в передней соединительной артерии и т.д.
Важно знать, что аневризма селезеночной артерии, как и многих других, не исчезнет сама по себе, поэтому нужно незамедлительно обращаться за врачебной помощью. В противном случае, разрыв артерии может привести негативным последствиям. По крайней мери, об этом говорит статистика — смерть наступает в каждом пятом случае разрыва артерии.
Источник:



